每天早晚刷牙,本是守护口腔健康的基本习惯。但你是否曾注意到:牙刷上沾着血丝,漱口时吐出带血的泡沫?很多人对此不以为意?然而,刷牙出血绝非小事,很可能是牙龈炎发出的早期警报!
什么是牙龈炎?
牙龈炎是牙龈组织的炎症反应,属于牙周病的最初阶段。它主要由牙菌斑(一种黏附在牙齿表面的细菌生物膜)长期堆积引起。当口腔清洁不到位,细菌代谢产物会刺激牙龈,导致红肿、敏感,甚至出血。
据统计,我国成年人牙龈炎患病率高达70%以上,而其中相当一部分人因忽视早期症状,最终发展为更严重的牙周炎,甚至导致牙齿松动、脱落。
刷牙出血:身体发出的“求救信号”
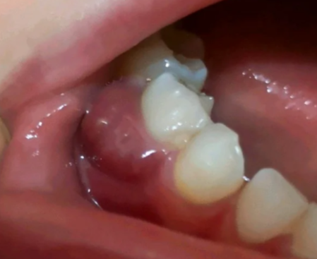
健康的牙龈呈粉红色、质地坚韧、紧贴牙齿,刷牙或使用牙线时不会出血。
一旦出现以下表现,需高度警惕:
这些症状看似轻微,却意味着你的牙龈正在“发炎抗议”。若不及时干预,炎症可能向深层发展,破坏支撑牙齿的牙槽骨和牙周韧带,演变为不可逆的牙周炎。

为什么牙龈会“罢工”?
1. 牙菌斑堆积——罪魁祸首
食物残渣与唾液中的矿物质结合,形成软垢,进而矿化为牙结石。牙菌斑中的细菌释放毒素,直接刺激牙龈,引发免疫反应,导致炎症。
2. 口腔清洁不到位
刷牙时间不足(少于2分钟)、方法错误(横刷、力度过大)、忽略牙缝清洁(不用牙线或牙缝刷),都会让牙菌斑在隐蔽角落“安营扎寨”。
3. 激素波动
青春期、孕期、月经期等阶段,体内激素水平变化会使牙龈对细菌刺激更敏感,容易发生“妊娠期牙龈炎”等。
4. 全身因素影响
糖尿病、维生素C缺乏(坏血病)、血液系统疾病(如白血病)或长期服用某些药物(如抗癫痫药、钙通道阻滞剂),也可能导致牙龈出血。
⚠️ 注意:如果牙龈出血伴随皮肤瘀斑、疲劳、发热等症状,应尽快就医排查全身性疾病。
牙龈炎可防可治,关键在“早”
好消息是:牙龈炎是可逆的!只要及时清除病因,牙龈完全可以恢复健康。
很多人等到牙龈萎缩、牙齿松动才就医,此时往往已进展为牙周炎,治疗难度大、费用高,且无法完全恢复。而刷牙出血正是身体给你的“黄金预警期”——抓住这个窗口,简单干预就能避免后续严重后果。