【时间】2026-01-08 08:01
【地点】深圳市宝安纯中医治疗医院 寰枢关节半脱位诊室
【患者】陈某,男,44岁。
【主诉】跟痛10余年。
【病史】10年前出现左侧足跟疼痛,经治好转。2月前跟痛复现,曾在宝安中医院、平乐骨伤医院、深圳市中医院等医院就诊,拍片诊断为“骨质增生”、“腱鞘炎”予针灸、针刀等治疗未效来诊。
【现症】久行左侧跟部疼痛,重时内踝后下方疼痛伴脱臼感。
【体征】痛点位于跟下,重时内踝下后方疼痛。交叉腿试验(+),中立位下蹲试验(+)。立位左侧足弓塌陷。跟骨结节前缘中点偏内压痛(+),足底筋膜牵张试验(+)。左侧胫骨后肌紧张,压痛(+),久压向内踝后下放射。行走时左足外旋,屈膝时左侧膝关节朝向前外。
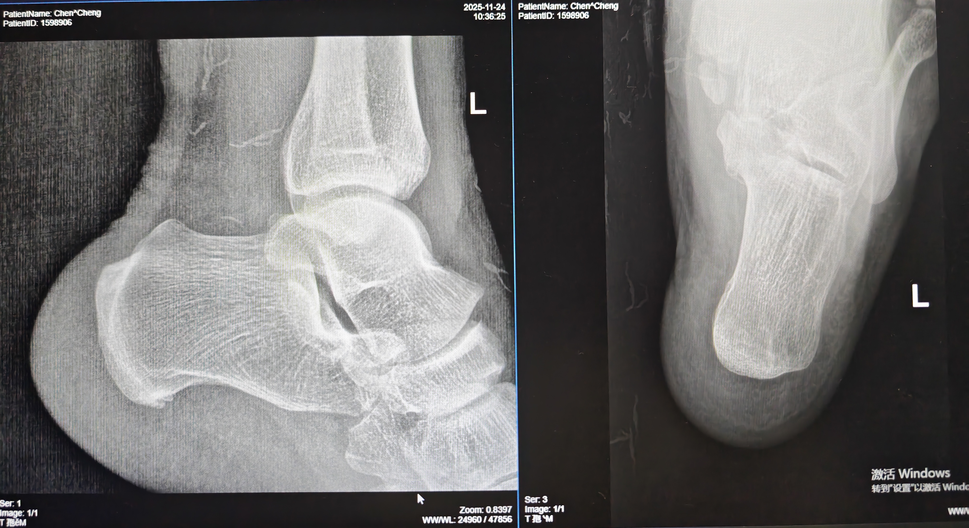
【影像】X线报左侧跟骨前下缘骨质增生。阅片见左侧距舟关节、跟骰关节对合不全,跟骨前下缘骨质增生,方向向前。

【诊断】跖筋膜炎;扁平足 ;胫骨后肌损伤;臀肌挛缩;
【治疗】手法松解下肢肌肉,调衡髋、膝、踝及足关节。
【结果】术毕行走足部舒适,较对侧轻松。

【讨论】本案症状表现为久行足跟下方疼痛;查体跟骨结节前缘中点偏内压痛(+)、足底筋膜牵张试验(+);X线片见跟骨前下缘骨质增生(方向向前,提示跖筋膜张力过大、起点钙化);诊断为“跖筋膜炎”。 立位左侧足弓塌陷,诊断为“扁平足”。 交叉腿试验(+)、中立位下蹲试验(+),诊断为“臀肌挛缩”。 行走时左足外旋、屈膝时左侧膝关节朝向前外与臀肌挛缩相关。左侧内踝后下方疼痛,查体胫骨后肌紧张,压痛(+),久压向内踝后下放射,诊断为“胫骨后肌损伤”。
跖筋膜炎以“晨起第一步或久坐站立时疼痛剧烈、行走后痛减、久立久行立加剧”为特点,与本案症状并不完全相符。患者晨起左足落地时没有初始痛、久行出现跟下疼痛,与其足弓扁平密切相关。因其足弓扁平,晨起或久坐足落地时跖膜牵张力不大,不足以刺激其附着点引发剧烈疼痛。久行前足反复蹬地牵张跖筋膜,其起点受到反复牵张刺激损伤而引发疼痛。
【按语】两个以上疾病复合到一起时,其症状特点可能会发生变化,临床需注意鉴别。