在日常生活中,有相当的一部分人存在腰部疼痛反反复复发作,询问患者有没有腰部外伤史,相当的一部分患者都会说以前出现过扭伤,那么现反复的腰痛是由于扭伤引起的吗?

什么是腰扭伤?
腰扭伤通俗的讲是指“闪腰”,是由于弯腰提重物、搬东西等活动时用力或姿势不当造成的腰部肌肉韧带、关节的损伤。腰扭伤分为腰部肌肉损伤,表现为腰部两侧肌肉疼痛,咳嗽、打喷嚏时会加重;腰部韧带损伤,包括棘上、棘间或腰骶关节韧带损伤,疼痛点固定,活动时加剧;还有小关节紊乱、错位,疼痛剧烈,活动完全受限。
腰扭伤之后腰部会反复腰痛吗?
腰扭伤之后,轻者会导致局部肌肉的损伤,重者会导致韧带、关节的损伤。损伤之后如果没有经过正确的治疗,局部损伤没有完全修复,可能会导致使局部肌肉变性、关节错位,形成瘢痕、粘连,最终可能会引起腰部的反复疼痛。
腰扭伤之后改如何治疗?
对于症状较轻的患者一般卧床休息数天即可,症状较重的患者则应及时就医,避免耽误最佳的治疗时间。
腰扭伤之后的治疗主要采用非手术治疗,主要包括手法复位、针灸推拿、温热疗法、中药内服等方法。手法复位是行之有效的治疗方法,能够快速的缓解患者症状。

引起腰痛的疾病有哪些?
临床中,引起腰痛的疾病有很多,腰扭伤只是其中的一种。盘源性腰痛、腰椎间盘突出症、腰椎滑脱症等都会引起腰部疼痛。
如何辨别腰痛的原因?
腰扭伤:有明确的扭伤史,常常在腰部扭伤后当即出现腰背部的疼痛、活动受限,活动时明显,有固定的压痛点。X线、CT等检查常无明显异常。

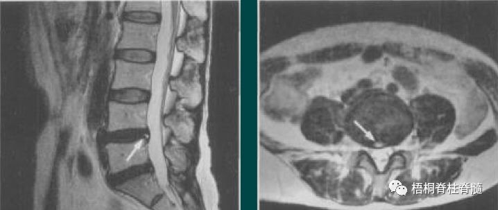
盘源性腰痛:有长期久坐或腰部受累史,腰痛没有固定痛点,弯腰恐惧,甚至有些患者出现腹股沟区的疼痛。CT上可见“真空征”,MRI常表现为“HIZ区”,矢状面T2加权像上纤维环后方见信号增高区域,它与髓核的影像分离且信号高于髓核。

腰椎间盘突出症:常伴有下肢的放射痛(坐骨神经痛放射痛),直腿抬高试验常常为阳性。CT、MRI可明确发现突出的节段。

腰椎滑脱症:腰痛平卧时症状常常可以缓解,下地负重、或久行时症状出现或加重。X线、CT可明确发现滑脱的节段。

以上是常见的腰痛的疾病,但临床中引起腰痛的疾病非常的多,如果存在腰部疼痛反复发作,应及时就医,寻求专业医生的诊治,以免耽误病情!

上海中医药大学深圳医院(罗湖中医院)脊柱骨科简介

陈晓东主任 医学博士 教授 硕士研究生导师 德国圣安娜医院访问学者
专家出诊信息
陈晓东主任医师:
咨询电话:13632639110
出诊时间:罗湖中医院脊柱骨科:周二、周四上午;罗湖区人民医院骨伤科:周三下午
杨洪杰副主任医师:
咨询电话:13590487690出诊时间:罗湖中医院脊柱骨科 周一、周三全天
梁鹏展主治医师:
咨询电话:13713770676
出诊时间:罗湖中医院脊柱骨科 周五全天
杨学军主治医师:
咨询电话:15999661705
出诊时间:周二下午、周四下午
医院地址:深圳市罗湖区仙桐路16号
导航信息:深圳市罗湖中医院(莲塘院区)
想了解更多
敬请关注微信公众号
