近期由于受新冠肺炎的影响,春节的“假期”延长了,大家积极响应国家的号召,自觉的待在家里,不串门、不外出、不聚集,自觉自我隔离及预防感染。闲来无事,坐着看看电视电影、打打游戏成了假期主要活动。然而意想不到的情况出现啦——“腰痛”。临床中,引起腰痛的疾病有很多,比如腰椎间盘突出症、腰肌劳损等,但还有一种比较常见的疾病人们往往比较容易忽视,那就是“盘源性腰痛”。

关于“盘源性腰痛”这个病,也许很多人对这个名词比较的陌生,但对于一名脊柱骨科的医生来说却再熟悉不过了。以下是关于这个疾病的一些知识,希望对您了解该病有一定的帮助。
1.定义:
盘源性腰痛在临床上是极为常见的疾病,是椎间盘内紊乱,如退变、纤维环内裂症、椎间盘炎等刺激椎间盘内疼痛感受器引起的慢性腰痛。
2.临床特点:
①发病年龄:好发于20-50岁人群;②绝大多数人有明显腰部受累史:如久坐、弯腰搬重物等病史,且逐渐加重,休息后缓解不明显;③疼痛部位不明确:多数患者不能找到明确的压痛点;④弯腰恐惧:患者由于常在弯腰的会后出现症状,长此以往会导致弯腰恐惧;⑤腹部、腹股沟区域的疼痛,临床中存在一部分患者会出现腹部疼痛。



3.辅助检查:
①X线:常常没有特异性表现。
②CT:严重时椎间盘内可见“真空”现象。
③MRI:能够清楚地显示髓核及纤维环发生脱水变化,主要表现为T2像椎间盘后缘高强化影;轴位像有时可见纤维环的裂隙。
5.治疗:
①非手术治疗:主要包括卧床休息、药物治疗、针灸治疗、封闭疗法及小针刀疗法,对于症状较轻,发作次数较少,病程较短的患者来说,常规的非手术治疗能够取得一定的效果。这里需要特别注意的是,对于该类疾病的患者牵引治疗、热疗等物理治疗常常效果不明显,腰部的旋扳手法治疗可能会导致症状加重。
②微创治疗:对于症状反复发作,病程较长的患者来说,非手术治疗效果欠佳的患者来说,则可以微创考虑手术治疗了。常见的手术方法有:椎间盘内注射亚甲蓝治疗治疗、射频消融、脊柱内镜微创手术等。
椎间盘内注射亚甲蓝治疗:亚甲蓝作是一种化学性质活泼的氧化还原剂,椎间盘内注射亚甲蓝,可以灭活神经末梢,直接阻碍感觉神经的异常传导,从而达到治疗效果。

射频消融术:是通过特定穿刺导针精确输出超高频电波,使局部组织产生局部高温,起到热凝固或使椎间盘髓核消融萎缩作用,从而达到治疗的目的。它具有高效安全、定位准确、创伤小、疗效确切等优点。

脊柱内镜微创手术:是通过皮肤通道或微小切口到达脊柱,利用光导纤维成像技术直视下进行手术操作,在镜下直视下处理病变椎间盘组织,从而达到治疗目的。它具有创伤小:皮肤切口仅5mm,如同一个黄豆粒大小;术后恢复快:术后第一天患者就可自行下地;疗效确切等优点。

至于该选择何种治疗方式,应由专业的医生根据患者情况而定,以下是我们既往对于该病治疗的病例。
案例一:
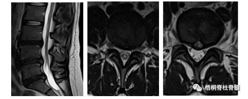
患者女性,27岁。主诉:反复腰痛半年,加重伴活动受限4天。现病史:半年前劳累后出现腰部疼痛,经保守治疗后症状改善;后症状反复发作,保守治疗效果欠佳。4天前劳累后腰部疼痛症状再次加重,伴腰部活动明显受限,经保守治疗无效,经内镜治疗后患者症明显缓解。术前影像学资料:

病案二:
男性患者,31岁。主诉:腰部疼痛10年,加重伴活动受限17天。现病史:10年前劳累后出现腰部疼痛,经保守治疗后症状缓解;后症状多次因劳累后反复出现,保守治疗效果时好时坏。17天前,患者再次因劳累后腰部疼痛加重,伴有腰部活动受限,常规保守治疗无效,内镜手术治疗后症状缓解。术前影像学资料。

上海中医药大学深圳医院(罗湖中医院)

陈晓东主任 医学博士 教授 硕士研究生导师 德国圣安娜医院访问学者
专家出诊信息
陈晓东主任医师:13632639110罗湖中医院脊柱骨科:周二、周四上午罗湖区人民医院骨伤科:周三下午杨洪杰副主任医师:13590487690
周一、周三全天
梁鹏展主治医师:13713770676周五全天
杨学军主治医师:15999661705周二下午、周四下午
医院地址:深圳市罗湖区仙桐路16号
导航信息:深圳市罗湖中医院(莲塘院区)
想了解更多
敬请关注微信公众号
