在口腔精密的生理结构中,每颗牙齿都应在牙弓曲线上各司其职,共同维持咀嚼、美观与发音功能。然而,有一部分牙齿“偏离轨道”,生长在牙弓之外,称为“弓外牙”。这类牙齿并非简单的排列异常,而是潜藏着多重健康风险,及时就诊评估与处理至关重要。

弓外牙
弓外牙的主要危害
弓外牙的存在往往不是一个孤立问题,它会从多个方面影响口腔健康:
1. 清洁困难,引发龋病与牙周炎
弓外牙位置异常,日常刷牙难以清洁到位,容易堆积食物残渣与牙菌斑,不仅自身易蛀坏,更会牵连邻牙,形成难以清理的“卫生死角”,显著增加邻牙龋坏和牙周感染的风险。

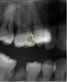
邻牙已龋坏

龋坏牙X线片
2. 干扰正常咬合,损伤口腔功能
异常的牙齿位置会扰乱上下颌的咬合关系,长期可能导致咀嚼效率降低、牙齿过度磨损,甚至引发颞下颌关节紊乱,出现关节弹响、疼痛、头痛等症状。
3. 影响牙齿排列与面部外观
尤其在前牙区,弓外牙会挤压正常牙列,导致牙齿拥挤或前突,影响笑容美观与面部轮廓,对患者心理和社会交往造成负面影响。
4. 引发反复炎症与囊肿风险
完全萌出在颊侧、腭侧或倾斜阻生的弓外牙(如异位智齿),周围软组织易反复发炎,引起冠周脓肿、面部肿胀,长期还可能诱发牙源性囊肿,破坏颌骨健康。
及时就诊,科学评估是关键
面对弓外牙,并非所有情况都必须拔除,但必须由专业口腔医生进行全面评估。医生会通过口腔检查、X光片(如全景片或CBCT)分析牙齿的位置、牙根形态、与邻牙及神经血管的邻近关系,从而制定个性化治疗方案。
处理方式:拔除还是保留?
拔牙并非首选,而是基于健康整体考量后的决策。在以下情况,拔除常成为必要选择:
· 牙齿严重影响邻牙健康且无法通过矫正归位;
· 无对颌牙、无咀嚼功能且反复发炎;
· 严重倾斜或阻生,矫正风险过高、效果不确。

微创拔除弓外牙
如今,微创拔牙技术广泛应用,通过精细器械和超声骨刀等减少组织损伤,配合完善的麻醉,使治疗过程更安全、舒适。
结语
弓外牙不是可以忽视的小问题,它潜藏着一系列健康隐患。如果您发现自己或家人有牙齿偏离牙弓的情况,请及时就诊口腔科,接受专业评估。早发现、早诊断、早干预,才能有效维护口腔长期健康与功能完整,守护自信笑容。