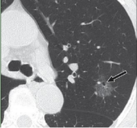
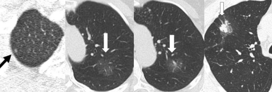
磨玻璃结节(GGN)是胸部CT上常见的影像学表现,因其与早期肺癌的关系而备受关注。近日,一项发表在《放射学》杂志的研究,通过对10年随访数据的分析,为磨玻璃结节的临床管理提供了重要参考。


研究背景与方法
该研究共纳入684例患者、1003个磨玻璃结节,随访长达10年。研究对比了两种管理策略:
- CT随访组:对结节进行定期CT监测,不进行手术干预。
- 手术组:对结节进行手术切除,术后病理确诊。
十年生存率对比
研究结果显示,CT随访组的10年总生存率为94.7%,手术组为97.6%,两组无统计学差异(P = 0.10)。这一结果表明,在长达10年的随访中,磨玻璃结节患者的生存率在随访与手术之间并无显著差异。
无复发生存率
值得注意的是,两组患者的7年无复发生存率均为100%。这意味着,无论结节是否稳定或增大,只要未出现实性成分,患者在7年内的无复发生存率都非常理想。


手术成本与时长
手术组的平均手术费用约为8400美元,手术时长约2小时。更重要的是,结节是否增大并不影响手术费用和时长。这提示,即使结节增大,手术的复杂性和成本也不会显著增加。
临床意义与建议
这项研究的重要意义在于,它为磨玻璃结节的临床管理提供了新的依据:
1. CT随访是安全的:在磨玻璃结节出现实性成分前,CT随访是安全且合理的管理策略。
2. 避免不必要的手术:随访期间结节稳定或增大的患者,其预后与手术患者相当,因此无需过早手术。
3. 关注实性成分:一旦磨玻璃结节出现实性成分,应考虑手术干预。
结语
这项长达10年的随访研究为磨玻璃结节的临床管理提供了有力证据。在磨玻璃结节未出现实性成分前,CT随访与手术的长期生存结果相当,且随访期间结节稳定或增大的患者预后无显著差异。这一发现不仅有助于减轻患者的手术负担,还能降低医疗成本,为临床决策提供了更合理的选择。
