随着早期肺癌患者越来越多,相应的数据研究也越来越深入。从最早的单纯的分期判定,进一步引入影像学的各种特点。
其中,最重要的就是CT上的磨玻璃表现。
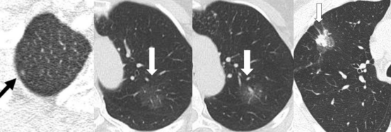
所谓肺磨玻璃结节,是指在高分辨率CT扫描上表现为其内支气管及血管纹理可显示的密度轻度增高影。

肺部磨玻璃结节(ground glass nodule, GGN)是指计算机断层扫描(computed tomography, CT)上边界清楚或不清楚的肺内密度增高影,其病变密度不足以掩盖其中走行的血管和支气管影。
GGN可能是恶性肿瘤、良性肿瘤、炎症、肺间质性疾病或肺内淋巴结等等。
依据结节密度分类,肺部亚厘米结节可分为纯磨玻璃结节、部分磨玻璃结节和实性结节。

磨玻璃结节是局限性的肺内磨玻璃密度影,肺内磨玻璃密度影是由气腔部分充盈、肺间质增厚、肺泡的部分塌陷、肺毛细血管血容量的增加等多种因素综合导致的,CT表现为密度轻度增高但其内血管及支气管轮廓尚可见。
实性结节表现为均匀的软组织密度且其内血管和支气管影像被掩盖,部分磨玻璃结节介于两者之间。
GGN的病理基础是肺泡隔增厚或部分肺泡腔充满液体、细胞或组织碎片。

不典型腺瘤样增生→原位腺癌
这两种病理类型属于肺腺癌浸润前病变,术前一般表现为纯磨玻璃结节,可以定期随访,一旦有变化,再行手术切除即可。由于病变的范围局限,手术方式一般选择亚肺叶切除即可,术后不会复发或者转移。5年生存率100%。
微浸润性腺癌
病理以贴壁生长方式为主,浸润范围较局限(<5mm),根据病变位置,楔形切除或者肺段切除即可,术后不会复发或者转移,5年生存率100%。
贴壁生长方式为主型浸润性腺癌(LPA)
病理以贴壁生长方式为主,浸润范围超过5mm,此类型病理分化程度较高,淋巴结转移率和术后复发率均较低,I期LPA术后5年生存率超过90%。
腺泡生长方式为主型浸润性腺癌(APA)
病灶呈圆形或者卵圆形腺样结构,术后5年生存率约85%。
实性,微乳头,乳头生长方式为主
此三种类型具有较强的侵袭能力,易发生早期转移,应注意淋巴结是否受累。
多数 GGO 影患者术后病理提示是早期肺癌,并不需要化疗和放疗。只有极少数的混合性 GGO 如果病灶直径很大,或者合并淋巴结转移才需要化疗。 目前研究还没有证实靶向治疗对于 GGO 患者有益,因此不建议多发或者小GGO患者进行靶向药物治疗。
最后总结,弥漫性GGO一般都是良性病变,只有一部分局限性GGO为恶性病变。病变特别小时,只需要随访,平时注意增强体质,若发现GGO变大或有其他恶性表现时,也不必太过紧张,多数早期肺癌通过微创手术能够根治它。所以发现GGO不要怕,要放松心态,积极配合医生。祝您早日康复。