随着居民健康意识的提高、低剂量CT筛查的普及以及高分辨率CT扫描技术的发展,越来越多性质不明的肺部小结节被发现。当胸部CT报告上写着“肺小结节”或“肺磨玻璃影”,同时夹杂着许多诸如“MI;HU”等字母缩写,往往让非医学专业的朋友看得一头雾水。目前发现肺结节最好的检查仍是胸部CT,那么本文就手把手教大家如何看懂CT报告。
CT报告该如何解读?
首先CT报告一般分为两个部分:一是影像描述,这部分主要是影像科医师根据CT图像看的所有部位的内容,既包括正常表现也包含异常部位的描述,这部分内容较多,多夹杂一些描述结节位置及性质的字母缩写。二就是结论,这部分主要是针对异常部分所得出的影像学推断,帮助临床医生做出初步诊断,所以一般言简意赅。

上图中的报告详细描述了肺结节的位置,尤其是一些微小结节,临床医生一时之间很难发现,有了位置的描述则可以减少寻找时间。并且又附带了肺结节的CT值,也就是结节的密度。还有很重要的肺结节的形态也准确的描述出来。最后结论,将不同肺结节分别描述,无法初步判断的给出继续做强化CT的建议。这些信息可以极大地帮助临床医师做出初步诊断及下一步诊疗方向。
CT报告上常见的结节类型
钙化结节:钙化灶影像上表现为密度很高(与骨头密度相当)、均匀一致的白色结节。一些炎症、结核、寄生虫疾病,当原有肺组织被破坏,免疫系统对“侵略者”进行吞噬、包裹,最终导致钙盐沉积在这些坏死组织形成一个坚硬的“石头子儿”样的结节,就变成了影像中的钙化灶。均匀一致的钙化结节是完全不需要您担忧的,因为那就是一块肺里面的小石子儿。

实性结节:指的是整个结节密度较一致且明显大于周围正常肺组织,成分较实(但没达到钙化程度)的结节。一般情况下这种结节所含的细胞组织成分较多,边界往往比较清晰。小于5mm的一般定期复查就好,而超过8mm的就需要专业医生来判断其良恶性。

磨玻璃结节:肺磨玻璃结节(GGO,ground glass opacity)在胸部CT表现为密度轻度增高的云雾状淡薄影 / 圆形结节,密度像磨砂玻璃或者云朵的一样,所以称之为磨玻璃结节。一般分为纯磨玻璃结节和部分实性磨玻璃结节。如果磨玻璃结节被描述为“边界清楚”且大于8mm时,那就需要高度警惕了,因为其中70%以上都是恶性的。而参杂部分实性成分的磨玻璃结节更是高达90%为恶性结节!

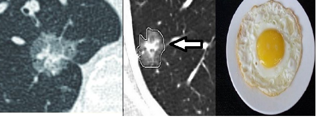
部分实性结节或亚实性结节:这类结节顾名思义,就是影像上密度介于实性和磨玻璃之间的一类结节。其结节中心部分密度明显增高,而其周边部分则是磨玻璃影,就像煎鸡蛋的蛋黄跟蛋清一样。像上文说的,这样的肺结节要高度警惕早期肺癌!

并不是所有的GGO都是肺癌的表现。但是有以下几点表现的GGO应当警惕肺癌,及时找专业的胸外科医生就诊。
1、病灶直径大于8mm。病灶直径越大其为恶性的可能性也越大,当直径大于8mm时恶性明显多于良性。
2、内部成分。含有实性组织成分的病灶恶性可能性更高,实性成分越多恶性可能性越大。
3、病灶形态。空泡型GGO、有分叶或毛刺、胸膜凹陷、血管集束及支气管充气等征象时恶性可能性大。
4、在定期复查中,发现病灶逐渐增大、颜色变实、实性成分增多(影像学表现为密度增加)要高度怀疑肺癌。
本文主要为您解读了胸部CT报告上常见医学术语,以及肺结节的几大分类和特征,希望能让似懂非懂的你豁然开朗。当然,上述还不能涵盖所有的影像学知识,临床上也确实存在许多复杂的影像表现,请必要时一定咨询专业医生,对您的结节做最准确的诊疗!
