家住深圳的张大妈最近总是出现乏力的感觉,每天早晨起床没有异常,可是下午就开始觉得双腿无力,没走多少路就觉得两腿沉重。一开始张大妈以为是自己上了年纪也没在意,直到开始出现眼皮下垂,总是觉得“眼皮子很重”,这才引起了重视。
结果来到医院一查,居然是胸腔里长了个肿瘤。到底是什么肿瘤还会引起全身乏力的症状呢?下文就为大家揭晓答案。

罪魁祸首-胸腺瘤
腺瘤是前纵隔最常见的肿瘤,可发生任何年龄,以中年人发病率最高。胸腺瘤发生于未退化的胸腺组织,组织学上分为:上皮细胞型、淋巴细胞型及混合型。胸腺瘤有明显的恶变倾向。良性胸腺瘤有完整的包膜,侵袭性胸腺瘤可侵及周围组织。胸腺癌包膜不完整,肿瘤突破包膜向邻近组织侵犯。胸腺瘤与重症肌无力有明显关系,约30%胸腺瘤患者出现重症肌无力症状。认识肌无力的表现有助于胸腺瘤的早期发现,早期诊断,早期手术。肌无力顾名思义就是肌肉没有力量,并且有几个特点可以帮助记忆。
首先,具有晨轻暮重的波动性,肌无力的症状在早晨或是休息好后会较轻,在下午或是傍晚劳累后会加重。
其次,肌无力的症状通常从眼部开始,再到面部、咽部、直至四肢,这与我们通常工作锻炼导致的疲劳无力不同。
最后,要记住几个重要的症状将有助于警醒我们是否发病:上眼睑的下垂、视物模糊、吞咽或发音困难。

胸腺瘤的其他症状
1. 压迫症状:1/3的患者有瘤体侵犯或压迫邻近纵隔结构所引起的局部症状,包括咳嗽、胸痛、气短、吞咽困难、声嘶或呼吸道感染,上腔静脉压迫综合征多见于恶性胸腺瘤。
2. 少数患者可发生低丙种球蛋白血症、单纯红细胞再生障碍、皮质醇增多症以及一些免疫异常如红斑狼疮、多发性肌炎等。
胸腺瘤也是分类型的
为更好地反映胸腺瘤的性质,1999年世界卫生组织(WHO)提出胸腺瘤的新的分类标准,主要由髓质向皮质依次分为下述类型:
1.A型:髓质上皮瘤,细胞呈棱形或圆形。
2.B型:上皮瘤,细胞核卵圆形,细胞质色淡,呈皮质样或树突状。根据上皮细胞与淋巴细胞的比例及肿瘤细胞的异形性进一步分为:B1型,皮质为主型胸腺瘤;B2型,皮质型胸腺瘤;B3型,高分化型胸腺瘤。
3.AB型:肿瘤兼具A型及B型两方面特点,为混合型细胞瘤。
4.C型:来源于胸腺外组织的恶性肿瘤,如鳞状细胞瘤。
如何诊断胸腺瘤
胸部影像学检查是最重要的检查。
1.X线表现 较大的胸腺肿瘤(巨型胸腺瘤)表现为纵隔阴影的增宽变形,纵隔胸膜向肺野呈弓形移位,如果肿瘤侵犯破坏胸膜则表现为胸膜肺界面不清,胸膜增厚和积液。
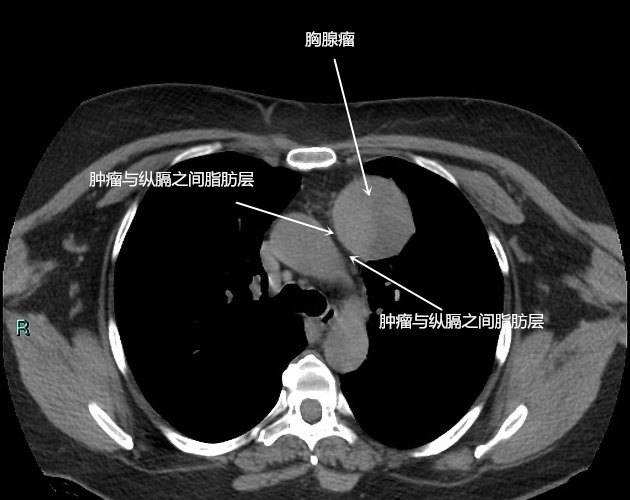
2.CT表现 良性胸腺瘤CT特点:(1)前纵隔内软组织密度圆形或卵圆形肿块;(2)肿块的周缘光滑锐利;(3)肿块的边缘有弧形钙化;(4)肿块的周围脂肪层存在完整;(5)临床症状不明显或无症状者。

胸腺癌CT特点:(1)胸腺肿块的周界不清,或具有分叶征象和毛刺征象;(2)胸腺肿块与附近的器官之间界限不清,其间的脂肪层(线)消失变形,为肿瘤组织代替;(3)胸腺肿块的密度(CT值)不均匀,可见坏死,出血和囊性变;(4)纵隔内组织器官受压变形,如上腔静脉受压变形、梗阻;(5)胸膜、心包增厚,出现胸腔、心包积液。
如何治疗胸腺瘤
胸腺瘤一经诊断即应外科手术切除。理由是肿瘤继续生长增大,压迫邻近组织器官产生明显临床症状;单纯从临床和X线表现难以判断肿瘤的良恶性;而且良性肿瘤也可恶性变。因此无论良性或恶性胸腺瘤都应尽早切除。有能切除的恶性胸腺瘤可取病理活检指导术后治疗,部分切除者术后放射治疗可缓解症状延长病人存活。
及时发现,早期治疗,是胸腺瘤最佳的治疗途径。大部分胸腺瘤切除后预后都很好,是有少部分恶性胸腺瘤需要进一步放疗。所以一旦发现胸腺部位有占位,尽快就医即可,无需过于紧张。
