随着物质生活水平的日益提高,人们逐渐重视身体健康状况和健康体检。随之而来,越来越多的人体检时会发现自己的肺上竟然有“结节”,而这些结节确实让大家很苦恼。当胸部CT报告上写着“肺小结节”或“肺磨玻璃影”,甚至是“不除外早期肺癌、警惕肺癌”,这些字眼无疑会让很多人联想到谈之色变的“肺癌”,继而恐惧和焦虑的心情会让人不知所措。许多疑问也会涌上心头,“究竟肺结节是怎么出现的呢?”“肺结节一旦出现就是肺癌吗?”本文就结合CT检查为大家讲解一下肺结节的出现都有哪些原因。
1.什么是肺结节
肺结节通常指的是肺内直径≤3cm的类圆形密度增高影,可以单发或多发。我们研究肺结节的最重要目的,是因为很多早期肺癌表现为肺结节,及时发现可以手术治愈(肺癌是发病率和死亡率最高的癌症)。但肺结节很常见,良性远远多于恶性,绝不能因为体检CT查出肺结节就整体担惊受怕。
2. 吸入粉尘形成肺结节
粉尘性肺结节是很常见的病型,常见于教师,采石工人,煤炭工人等,当粉尘吸入肺泡后一小部分会在肺泡中沉积,经过巨噬细胞吞噬后形成肺结节。这类结节往往都是良性结节。

3. 外伤后形成的肺结节
当有巨大外力作用于肺组织时,肺泡会由血液渗出,表现都CT上就像是肺部结节,但这种结节随着损伤的恢复明显缩小或者消失。以下是某患者车祸后胸部CT检查发现的肺结节,红箭头这里的一小片肺组织被车祸撞击暴力撕裂,小血管破裂出血,形成不均匀的高密度影;蓝箭头是气胸和皮下气肿(肺破了,肺里空气溢出到胸腔和肌肉间隙内)。该患者出院时复查胸部CT肺结节已经基本消失。

4.炎症、结核造成的结节
这种结节有时单纯从CT片的形态分析,跟肺癌鉴别困难,需要抗炎治疗后复查,或者增强CT看结节的强化特点,炎症结节常常明显均匀强化,结核球一般不强化或者环形包膜样强化(肺结核会破坏内部组织包括血管,引起广泛坏死),肺癌多为轻中度不均匀强化(肿瘤血管少而乱)。

5. 真正的早期肺癌结节
恶性肺结节是最需要重视的,早期手术可以治愈。简单来说,恶性肺结节可以分为两类:
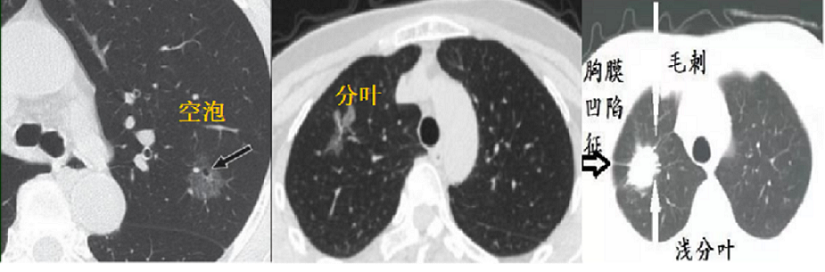
第一种,具有明显恶性征象的肺结节
像下图这种,出现胸膜牵拉、分叶、毛刺 等表现要及时手术。

还有一种,随访过程中逐渐增大的肺结节,不论磨玻璃还是实性结节,都要重视!绝大多数早期肺癌生长缓慢,对无法定性的肺结节,定期复查是个很实用的办法,可以避免过度医疗,也防止漏诊。

总之,肺结节只有极少一部分是癌症。肺部结节越小越难定性,但越小越倾向于良性。因此规律的随访观察,动态监测结节的变化,怀疑为恶性时再行手术切除,否则尽量不选择手术治疗,这是目前国际公认的做法。
