大家都知道,恶性肿瘤包括肺癌越早发现,治疗越及时,治愈的可能性就越大。因此我们要了解并重视肺癌的一些诊断方法,这样才能及时发现肺癌并早期治疗,以避免悲剧的发生。
那么肺癌的诊断方法都有哪些呢?本文将向您讲述医生究竟是怎么诊断肺癌的。

一、初步诊断
就医被诊断为肺癌主要有两种情况:
1、常规体检。经这种途径发现的患者基本不会有临床症状,单纯在体检时发现,发现时大多属于早期肺癌,预后较好。但是体检一定要选择低剂量胸部CT检查才能及时发现肺癌,普通胸片和透视是很难发现并诊断肺癌的。
2、主动就医。这一部分患者往往是因为出现身体不适,而在就医后被诊断为肺癌。那么出现什么症状时需要我们高度警惕呢,下面我们来详细了解一下:
咳嗽 咳嗽是肺癌常见的首发症状,约占50%,以中央型肺癌为著。其咳嗽的性质以刺激性干咳为主,也可伴少量白色泡沫痰,药物治疗效果欠佳。吸烟的患者往往误以为咳嗽就是吸烟引起的而耽搁了就诊,再次强调刺激性的干咳是肺癌常见的症状,千万不能忽视!
血痰 也是肺癌常见首发症状之一,约占35%,主要表现为反复出现的痰中带血丝,或少量咳血性痰,一般血多于痰。偶有大咯血的症状。千万要记住,血痰是肺癌非常重要而且典型的表现,不要因为偶尔出现或者很快好转而忽视进一步的检查,这非常容易延误病情!
胸闷气短 约有6.6%的患者会出现胸闷气短。是因为肿瘤或肿大淋巴结堵塞及压迫呼吸道影响呼吸,或者出现胸水及心包积液引起的症状。当然其他如心脏疾病也可出现胸闷气短,因此需要专业医生予以鉴别。
胸痛 有24%患者出现,也可能是唯一症状,主要是轻度疼痛,常表现为隐痛。胸痛常被怀疑是肿瘤已经侵犯胸膜所造成。
发热 一般为低热,由肿瘤本身引起,各种抗生素治疗无效。如果肿瘤阻塞气道引起阻塞性肺炎会出现高热,甚至是肺脓肿的情况,此时抗生素治疗有效,但易反复出现。
其他全身症状:乏力、消瘦、贫血等症状有可能是肿瘤消耗引起。
其他肺外表现:杵状指、肾上腺皮质功能亢进、男性乳房发育、类癌综合征(支气管痉挛,皮肤潮红,阵发性心动过速,水样腹泻等)、低钠高血钙症等,这些不常见的临床症状稍作了解就好。

以下症状的出现往往提示肺癌已经出现其他部位的转移:
胸膜侵犯或转移:胸痛、气短、血性胸水。
心包侵犯或转移:气促、心悸、心包积液的其他症状。
喉返神经受侵犯:声音嘶哑。
肝转移:食欲下降,肝区疼痛。
骨转移:出现某部位的固定压痛,以同侧肋骨、脊柱最常见。
脑转移:头晕头痛、恶心呕吐、失语等。
皮肤转移:皮下的硬结,无压痛。
当出现上述症状前来就诊时,医生会结合年龄、是否有吸烟史及肺癌家族史等危险因素做出初步诊断。

二、辅助检查
若医生已初步诊断为肺癌,下一步就是行辅助检查进一步证实初步诊断。下面将为您讲述诊断肺癌可能会用到哪些辅助检查。
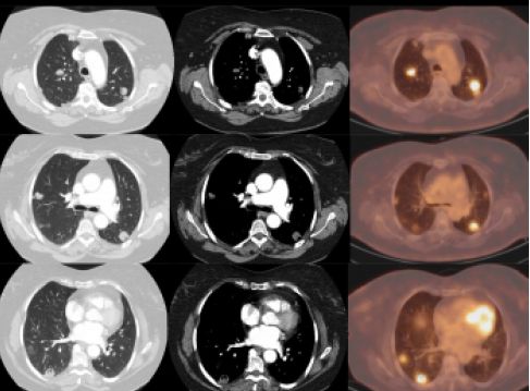
1. 胸部CT
这是最常用到的辅助检查,可以明确是否有肺部的新生物、新生物大小及数量,是否有淋巴结肿大。必要时还需行增强CT检查,参照典型肺癌的影像学表现(胸膜凹陷、分叶、毛刺征、血管集束征等),进一步确定是否为肺癌。

2.胸部X线
相对于胸部CT,胸片所能获得的信息较少,且无法发现微小肺结节,现在临床已很少应用。
3.病理组织学检查
包括痰细胞检查,胸水细胞学检查,经皮肺穿刺活检,支气管镜活检,EBUS- TBNA(支气管内超声引导下针吸活检术),纵隔镜及胸腔镜取活检。根据影像学结果选择适合的活检方式,这些检查的目的只有一个:获取肿瘤组织,进行病理诊断,因为病理诊断才是肺癌诊断的金标准。所谓眼见为实,只有真的获取肿瘤组织后才能最终确诊是否是恶性肿瘤,而其他检查无论多么倾向恶性肿瘤,均无法替代病理诊断。
4.PET-CT
是目前较为准确的恶性肿瘤检查项目,可以较好地判断肿瘤良恶性,还能发现全身其他部位是否有转移,但尚无法替代胸部CT、支气管镜等病理检查,且费用昂贵,有时还会出现假阳性的结果,如把结核或者炎症误报成肺癌,因此临床医生常常在确诊肺癌以后用来排查远处转移时使用。

5.血清肿瘤标志物
常用的肺癌筛查肿瘤标志物为:CA199、CA242、CEA、NSE、TPA、CYFRA211等,这些标志物升高仅可用来辅助肺癌的诊断,而单纯升高未必与肺癌有关。
6.怀疑有其他部位转移时还可能做的辅助检查:
脑部CT/MRI,腹部肝胆胰脾彩超或腹部CT,怀疑骨转移时行骨ECT扫描。
以上是诊断肺癌的常规流程及方法,这些检测手段并不一定全部应用,很多患者在检查两三项后便可以确诊。当出现上述症状时还请及时就诊,切勿拖延就医时间,及时明确肺癌诊断是提高生存时间的关键,同时在诊断明确后一定要及时的进行有效地治疗,因为对于癌症的患者来说时间是非常重要的,越早的进行相应的治疗,最后取得的效果也就越明显。
