随着生活水平的日益提高和人们对健康体检的逐渐重视,胸部CT检查的应用也越来越广。随之而来,越来越多性质不明的肺部小结节被发现,临床医师对肺部小结节的诊断和治疗面临着极大挑战。当胸部CT报告上写着“肺小结节”或“肺磨玻璃影”,甚至是“不除外、警惕肺癌”,这些字眼无疑会让很多人联想到谈之色变的“肺癌”,并出现不同程度的焦虑和恐慌。因此,什么是肺小结节、肺磨玻璃影,肺磨玻璃影是否就是肺癌,发现后该怎么办?是不是一定要手术切除?希望读完这篇科普文章,可以解开您心中对肺结节的百般纠结。

首先需要向大家介绍一下影像学关于“肺结节”的概念,凡是发现检查者双侧肺上出现异于正常肺组织的“结节影”,诊断报告都会写上“肺结节”或者“肺小结节”。通常按照大小区分,我们医生习惯将大于2厘米的结节称为“肿物”或者“占位”,而小于2厘米的一般称为“结节”。研究统计,超过一半的体检者会发现肺部结节,而这其中95%以上的结节都是良性的,特别是直径小于5毫米的结节也都是良性的,所以大家先不必恐慌。下面重点来了,只有大于5毫米的结节,特别是描述为“肺磨玻璃结节”中会存在一定比例的癌性结节。
一、首先什么是肺磨玻璃结节(GGO)
具有磨玻璃影特征的肺结节称为“肺磨玻璃结节”。肺磨玻璃影(GGO,ground glass opacity)在胸部CT表现为密度轻度增高的云雾状淡薄影 / 圆形结节,密度像磨砂玻璃或者云朵的一样,所以叫磨玻璃影。(如下图红箭头所示)

图一 肺磨玻璃影
所以,肺磨玻璃影是影像学上的一类表现的统称。根据成分、部位、时间上的不同表现又可以分为:1、单纯性与混合性GGO;2、局限性与弥漫性GGO;3、持续性与一过性GGO。
1、单纯性与混合性GGO
单纯性或者完全性GGO是指病灶内无实性成分的病灶,在影像学上表现为完全的均匀的云雾状结节。而混合性GGO则是含有部分实性组织成分的病灶,类似“荷包蛋状”。

图二 单纯性与混合性GGO影像学表现对比
2、局限性与弥漫性GGO
局限性与弥漫性GGO是因病灶范围大小的不同而划分。局限性GGO的病灶仅表现为一个或多个结节,或大或小,其中部分大于5毫米的局限性GGO是早期肺癌的影像学表现。而弥漫性GGO表现为大片状磨玻璃影。弥漫性GGO多为良性,往往见于如下几种疾病:肺炎、肺水肿、肺出血、肺泡蛋白沉积症、肺马赛克灌注、隐球菌感染、结缔组织病、间质性肺疾病等。其GGO的影像特征有别于肺癌,往往为大片多发,弥漫,形态变化快等特点。

图三 局限性与弥漫性GGO对比
3、持续性与一过性GGO
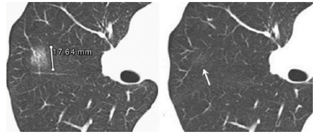
一过性GGO指新发现的病灶绝大部分(40%-70%),患者治不治疗,均可自行消失。消失的时间一般在三个月以内,极少数甚至可以半年后才消失。而持续性GGO表现为持续存在半年及以上,定期复查不消失。

图四 间隔3个月复查后同一位置GGO消失
二、GGO与肺癌的关系
并不是所有的GGO都是肺癌的表现。但是有以下几点表现的GGO应当警惕肺癌,需要及时找专业的胸外科医生就诊。
1、非弥漫性GGO病灶直径大于8mm。病灶直径越大其为恶性的可能性也越大,当直径大于8mm时恶性明显多于良性。
2、内部成分。含有实性组织成分的病灶恶性可能性更高,实性成分越多恶性可能性越大。如上文介绍的“荷包蛋状”GGO
3、病灶形态。空泡型GGO、有分叶或毛刺、胸膜凹陷、血管集束及支气管充气等征象时恶性可能性大。
4、在定期复查中,发现病灶逐渐增大、颜色变实、实性成分增多(影像学表现为密度增加)要高度怀疑肺癌。

图五 恶性病灶影像学表现
三、发现了GGO怎么办?
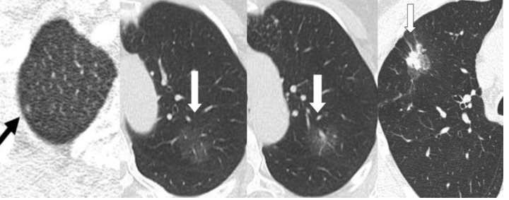
肺癌的发展是渐进性的,典型的肺癌是有自身的演化逻辑的:先慢后快。首先是不典型腺瘤样增生(AAH)——然后是原位癌(AIS)——再接着是微浸润癌(MIA)——最后是浸润性癌。从AAH发展到MIA可能需要10年时间,这期间肿瘤的生长是极其缓慢的,理论上是不会有转移的,因此我们将AIS和MIA称为惰性肺癌。而AIS或者MIA的倍增时间(请注意,这里指的倍增是体积倍增,要知道体积倍增是直径的倍增8倍)一般要超过2年。

图六 由左到右依次为非典型腺瘤样增生,原位腺癌,微浸润癌,贴壁生长为主的腺癌。
因此当我们发现了GGO,若因其形态太小,无典型恶性表现时,需定期随访复查。一般来说,首次发现GGO,无论大小,都要3个月后做薄层CT扫描进行复查,而复查后直径<8 mm的GGO 可以 6~12个月随访一次胸部 CT 平扫;若已经> 8 mm ,或随访有增大趋势、实性成分增多或出现上述的恶性征象时,需及早手术治疗。此外GGO 位置、是否有家族史以及患者的社会和心理因素也是我们外科医生术前需要考虑的重要指标。
四、发现GGO如何治疗?
当我们发现GGO有恶性倾向或者影像学有进展时,首选应选择外科手术切除。外科手术既可以明确病灶的良恶性,又可以在确诊肺癌时给与患者根治性的治疗,确保肿瘤不会复发。而目前世界范围内专业的肿瘤医生包括临床研究结果均不推荐早期肺癌患者特别是GGO病灶进行放疗、化疗、射频消融、靶向治疗、免疫治疗以及中医中药治疗,但身体状况很差不能耐受手术的患者除外。
对于肺GGO患者术前的检查,我们通常为其选择薄层(1毫米层厚)胸部CT平扫检查,而非5毫米层厚的增强扫描,但如病灶与肺血管关系密切或者怀疑淋巴结影响手术时可以做CT增强扫描。如果病灶为纯GGO,直径很小,病变分期很早,一般不推荐常规排除转移性术前检查。如PET/CT检查,GGO病变SUV 摄取值较低,PET/CT 检查对它的价值有限,一般不推荐;纯GGO出现转移的几率几乎为零,因此不推荐术前的支气管镜、骨扫描以及头部核磁检查。
现如今,微创胸腔镜手术已经成为肺GGO、早期肺癌的首选治疗方式。切口选择包括单孔胸腔镜、多孔胸腔镜、剑突下胸腔镜以及机器人手术等等。术式的选择包括肺叶切除,楔形切除,肺段切除,亚肺段切除等等,主要根据患者的病灶大小、位置以及结节多少来决定需要实施的手术方式,但外科医生的技术能力以及经验等因素也决定了手术的切除范围,目前国内外提倡术前CT三维重建、精准定位与个体化施治相结合的治疗原则。
1、三维重建技术有助于亚肺叶切除手术
亚肺叶切除手术包括肺楔形切除、肺段切除和亚肺段切除,亚肺叶切除的体积仅仅占整个肺叶的1/3至1/5,其优点是既可以根治性切除早期肺癌、肺GGO,又可以尽可能多的保留肺功能,目前在世界范围内得到广泛认可与开展,特别适合于年老体弱、肺功能欠佳以及多发肺结节的患者。
CT图像的三维重建技术是指导我们进行微创亚肺叶切除的重要手段,三维重建技术可以从不同方位及空间立体显示病变及病变与周围组织的关系,对疾病诊断和定位发挥着重要作用。通过这种无创的显示技术,可以使得手术更加精准。

图七 三维重建下的肺结节与周围支气管及动静脉的关系
2、肺结节的术前术中定位方式
术前定位有CT 引导下经皮肺穿刺亚甲蓝注射、放置微弹簧圈、Hook-Wire 定位、放射性示踪剂注射;经电磁导航支气管镜引导注入染色标志物或微弹簧圈等(费用贵)。术中定位有术中胸腔镜 B 超探头定位、术中CT定位。但是术前定位存在许多缺点如定位不准确、移位、出现血气胸等并发症,需要我们注意并进一步研究完善。

图八 CT引导下钩针(Hookwire)定位

图九 CT引导下弹簧圈(Microcoil)定位
3、多个GGO的手术治疗
临床上还有许多患者会遇到同时发现的肺内多发 GGO 病变。有些患者是一个主病灶,伴有多个小 GGO ,通常我们外科医生会建议患者只切除主病灶,而小于5毫米的小 GGO 以观察随访为主。还有些病人是多个主病灶类型,分布在肺叶的不同位置,这种情况下,可以采用同期或分期手术的方式,也就是根据患者的身体状况和主观意愿选择一次手术或者两次手术解决所有主病灶。
4、术后复查问题
GGO的术后复查跟常规肺癌类似,只是不用频繁做骨扫描及头部磁共振检查。
五、GGO术后需要放化疗和靶向治疗吗?
几乎所有的纯GGO 患者病理均为早期肺癌,手术切除后寿命与常人无异。因此并不需要化疗和放疗。只有极少数的混合性 GGO 如果病灶直径很大,或者合并淋巴结转移才需要化疗。目前研究还没有证实靶向治疗对于 GGO 患者或者术后有益,因此不建议多发或者小GGO患者进行靶向药物治疗。
总结一下,通常弥漫性GGO都是良性病变,只有一部分较大的局限性GGO是早期肺癌的表现。当GGO病变较小时,我们只需要观察定期随访。若CT发现GGO变大变实或有其他恶性征象时,也不必恐慌,完全可以通过微创胸腔镜手术得到根治。所以体检发现GGO不要害怕,寻求专业胸外科医生的帮助并积极配合尤为重要。最后祝大家身体健康。