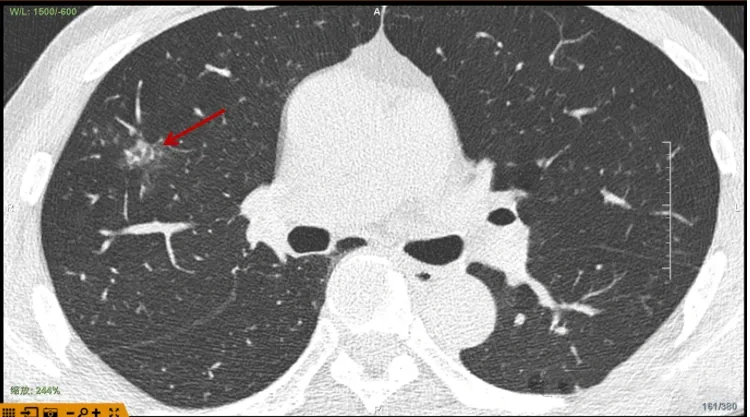
52岁的尹先生在年度体检中发现右上肺出现一个周围型肺结节,这让有长期吸烟史和肺癌家族史的他倍感忧虑。面对医生“手术切除”的建议,尹先生顾虑重重:传统手术创伤大、恢复慢。经多方咨询,他了解到一项名为“无痕肺结节肺癌消融术”的新技术,最终在局麻+全麻复合麻醉下,一小时顺利完成手术,术后无发热、咯血、胸痛或气胸等不适,次日平安出院。这项融合多学科高精尖技术的微创手术,正为无数像尹先生这样的肺结节患者带来新希望。
术前CT



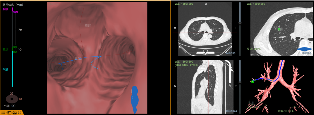
Lungpro全肺导航系统术前规划

术中实况

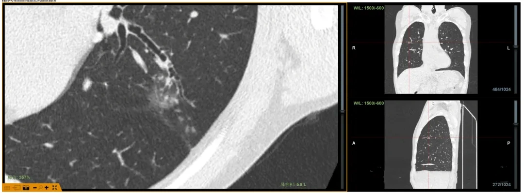
锥形束CT术前确定病灶位置

消融术后
【精准“狙击”:高科技赋能下的无痕消融术】
“无痕肺结节肺癌消融术”并非浪得虚名,其核心在于三大技术的无缝协同:
1. Lungpro全肺导航系统:犹如为医生安装了“GPS肺内导航仪”,它能基于患者CT数据重建精细的支气管树3D地图,规划抵达肺外周“隐秘角落”结节的最优路径,避开重要血管,极大提升操作精准度。
2. 术中实时锥形束CT扫描: 堪称手术中的“鹰眼”。在支气管镜行进过程中或消融前,可即时进行锥形束CT扫描,如同开启实时卫星定位,确认器械是否精准抵近靶点,并监测消融范围是否完全覆盖目标结节,确保治疗无遗漏。
3. 尖端冷冻探针经支气管抵达:在导航与实时影像双重保障下,超细冷冻探针经由自然腔道(支气管)直达肺外周结节。探针尖端释放的极低温(可达-140℃以下)可在瞬间“冰封”癌细胞,摧毁肿瘤组织,而对周围健康肺组织损伤极小,真正实现“无痕”物理消融。
【患者之选:何以成为尹先生们的理想方案?】
1.微创中的微创: 仅通过自然气道操作,体表无任何切口,避免了传统手术或经皮穿刺带来的组织损伤和潜在并发症(如气胸、出血风险显著降低)。
2.“一步到位”的选择:对于像尹先生这样具有明确高危因素(吸烟、家族史)、影像学高度怀疑早期肺癌且位置适宜的患者,该技术提供了“诊断性消融”的可能性。在充分评估和医患共同决策下,可尝试避免先行活检的步骤,直接对目标结节进行根治性消融治疗,减少患者身心负担和等待时间。
3.恢复神速,回归生活:手术过程通常控制在1小时左右,术后患者体验良好,尹先生术后次日出院便是明证。这极大缩短了康复周期,显著降低了医疗成本,让患者更快回归正常工作和生活。
4.保肺功能,守护呼吸: 特别适合多发结节、肺功能欠佳无法耐受肺叶切除的患者,在消灭“首恶”病灶的同时,最大限度地保护了宝贵的肺功能。
【展望未来:早癌治疗的“无痕”新时代】
以尹先生的成功治疗为缩影,“无痕肺结节肺癌消融术”代表了肺外周结节/早期肺癌治疗的重要发展方向。其融合精准导航、实时影像引导和经自然腔道微创消融的优势,为患者提供了高效、安全且身心负担更小的治疗选择。
致广大肺结节患者:
若您发现肺结节,请务必寻求专业医生的综合评估。随着医学技术的飞速发展,肺癌的早期诊断与微创治疗已进入“无痕”新时代。尹先生的故事并非孤例,充分了解自身病情,知晓包括“无痕消融”在内的多种先进方案,您完全有可能在最小创伤下赢得最佳治疗效果。
“无痕”不仅在于体表无创,更在于以技术之精妙抚平患者心中焦虑。每一次精准消融,都是对生命的温柔守护——在呼吸之间,重获健康与安宁。

地址:深圳市光明区马田街道松白路4253号
光明区人民医院西院区