【病例介绍】
患者,男,60岁 主诉:咳嗽、左侧胸痛、气喘1月余
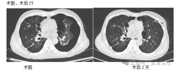
【现病史】 患者于1月余前无明显诱因出现少许咳嗽,左侧胸痛伴气喘,在外院住院治疗,予胸腔引流管引流效果不佳,反复复发。2024-9-2查胸部CT:1.左侧气胸,左肺压缩约80%-90%,左肺膨胀不全。2.考虑慢性支气管炎、肺气肿征,双肺散在纤维增殖钙化灶、多发肺大疱。诊断:1、难治性气胸2、慢性阻塞性肺疾病3、多发肺大疱。
【治疗过程】诊疗经过:9月2日行胸腔镜下胸膜粘连松解术+胸腔镜下肺大疱治疗,术后气胸、胸痛症状较前好转,无气喘。


【术后小结】
自发性气胸多发生于胸廓扁平的瘦高男性,多因肺泡腔与胸膜腔之间存在自发的交通所致,部分气胸原因不明,大部分认为脏层胸膜下或胸膜表面肺大疱破裂是自发性气胸的原因。肺大疱并发自发性气胸的治疗包括内科保守治疗及外科手术治疗。内科保守治疗多以胸腔穿刺、胸腔闭式引流为主,主要通过排气、减压等方式使得肺部破口自然愈合,但治疗效果欠佳,会使得患者住院时间延长,从而导致医疗护理费用增加。外科手术治疗包括传统的开胸手术或电视辅助胸腔镜手术,外科传统开胸手术的创伤较大,术后疼痛重,恢复慢,术后并发症多。
经内科胸腔镜下介入治疗是治疗难治性气胸的一种方法。内科胸腔镜治疗最大优势在于可以直视下观察胸膜腔全貌,对异常组织进行活检,以明确气胸病因,并能在直视下对粘连带进行分离,必要时对肺大疱进行钳夹、高频电刀及氩气刀烧灼处理,治疗气胸疗效显著。

地址:深圳市光明区马田街道松白路4253号
光明区人民医院西院区