电子输尿管软镜治疗直径大于3厘米肾结石

刘增钦医生 发布于2025-08-04 10:01 阅读量376

本文由刘增钦原创

患者男,58岁,主因“发现肾结石1年余,左侧腰部酸胀2周”就诊。进一步行CT提示:“双肾多发结石,左肾为著,较大结石位于左肾盂开口处,38x36x20mm,左肾轻度积水”;静脉肾盂造影提示:“左肾多发结石、左侧输尿管下段结石并左肾积水;左肾功能差”。予提前2周行左侧输尿管镜下置入输尿管DJ管。现在为进一步行输尿管软镜肾碎石取石术入院。

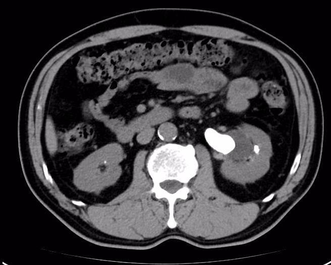
图片2.jpg

CT见左肾结石大并堵塞肾盂口

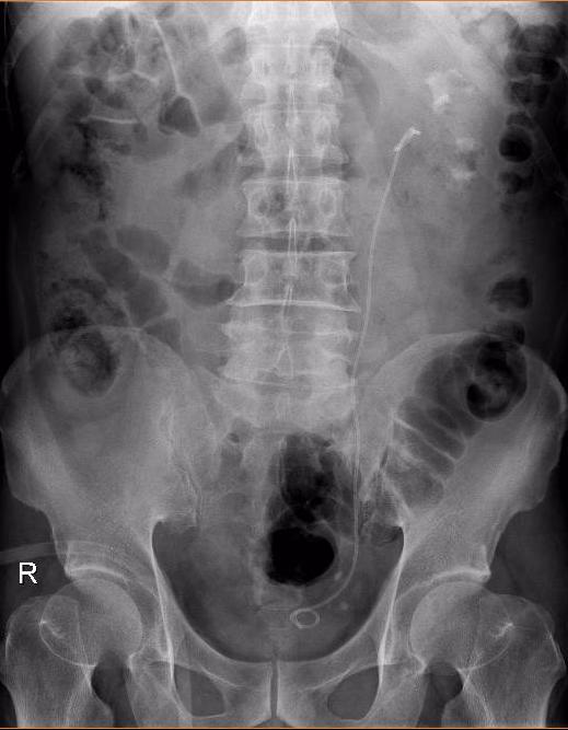
图片1.jpg

KUB见肾结石大,DJ管位置良好

完善相关检查后,积极做好术前准备在手术室全麻下行左输尿管软镜下肾碎石取石。我们采用输尿管软镜下碎块法联合快速套石法处理巨大结石(直径>3cm)获得良好的效果。该病例所示术后第一天肾区所见结石粉末化。术后3周复查KUB提示“原左肾结石已经消失,左侧输尿管支架管位置良好”。

图片3.jpg

术后第一天,肾见较多碎石

图片4.jpg

术后3周左肾结石已经消失

临床诊疗指南指出,对于>2cm肾结石的治疗,经皮肾碎石取石术(PCNL)作为推荐的首选治疗方法。PCNL结石清除率高,治疗效果确切。在临床上,对于较大的肾结石,目前绝大部分的泌尿外科医生会选择PCNL术。但PCNL手术需要在肾穿一个通道,皮肤有伤口。PCNL术的大出血及尿源性脓毒血症等严重并发症是临床医生的主要担忧。而且对于反复复发的结石,多次PCNL显然不合适,会对肾脏造成无法挽回的肾功能丧失。特别对于那些既往有开放手术取石或PCNL手术史的患者,再次PCNL不可避免增加对肾脏组织的损伤。对于直径>2cm肾结石是否可以采用输尿管软镜碎石来处理一直存在争议,大体积肾结石软镜碎石后的大量结石碎片是否可以彻底清除,长时间的腔内碎石是否带来术后并发症的高发,一直是困扰临床泌尿医生的难题。

现实临床中,几乎所有的医院均采用尽量粉末化的方式来处理输尿管软镜下的肾结石。对于不同成分及质地的结石要做到粉末话,难,往往是大成不大不小的碎块,套又困难冲又冲不出,结石自己拍又会堵塞输尿管形成石街,导致相关术后并发症。

但,我们采用输尿管软镜下碎块法联合快速套石法处理巨大结石(直径>3cm),激光功率采用40-60W的激光,大大提高碎石效率。我们的经验是,结石表层的结石较脆,可用粉末法粉碎结石。减负后剩下核心结石采用碎块法,而且是分次碎块法。大约将结石分三等份。每一等份结石碎块法处理后采用套石网篮套取结石。这样大大提高碎石效率及提高结石清除率。避免大量不大不小的结石堆积在输尿管形成石街。

同时需要指出的是,对于准备做输尿管软镜碎石的病人,我们均首先要求提前置入输尿管支架管进行输尿管梗阻的解除及进行输尿管的扩张。这样大大降低手术感染的风险,降低输尿管损伤的风险,提高手术成功率及手术质量。其次,必须把输尿管软镜鞘置入到肾盂或接近肾盂,让出水顺畅。第三,术中综合运用结石挪动法,避免刁钻角度下碎石,提高碎石效率及成功率大大降低镜体损耗。从我们积累的经验来看,输尿管软镜处理直径大于3cm结石可行,且效果良好,清石率满意。


主诊:前列腺、膀胱及肾脏肿瘤、泌尿系结石等

出诊时间地点:周三上午,深圳市保健办,负责干部诊疗保健工作。

周四及或周六全天,深圳市人民医院泌尿外科。

相关疾病: