机器人辅助下零缺血肾癌部分切除术

刘增钦医生 发布于2025-08-04 10:01 阅读量412

本文由刘增钦原创

首先解释一个误区,许多人以为机器人手术就是机器人来做手术,其实并不是,而是我们手术者操作机器人设备来为患者行手术,这种方式更加视野更清晰、手术操作更灵活精准与精细、并发症少、术后恢复快。

达芬奇机器人1.jpg
达芬奇4.jpg
达芬奇机器人2.jpg
达芬奇5.jpg


患者,女性,36岁。因10天前体检彩超发现右肾实质性占位病变,进一步行增强CT检查提示“1.右肾占位,轻度强化;性质待定,拟肿瘤性病变可能,肾癌(乳头状肾细胞癌)?建议结合临床相关性实验室检查。”。为进一步手术治疗入院。术前为患者行全息影像重建做好手术规划,考虑肿瘤局限,适合行肾癌部分切除术(单纯切除肿瘤而保存大部分健康的肾脏实质)。患者恢复良好,术后4天出院。术后病理提示右肾嫌色细胞癌。

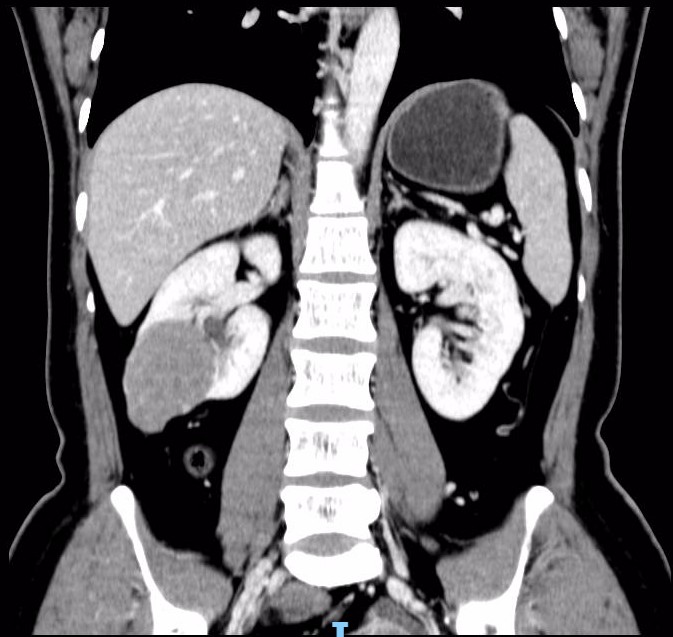
肾3.png

CT所见

肾4.png

术前全息影像所见


肾1.jpg

达芬奇机器人显露肾肿瘤

肾2.jpg

达芬奇机器人显露肾动脉

该病例为一右肾癌,外生性生长。我们团队采用机器人辅助下腹腔镜技术,入路选用腹膜后途径。我们医院是全国最早引入手术机器人的单位,目前已经更新迭代到最新一代机器人。机器人手术在泌尿外科已经广泛开展,机器人辅助腹腔镜手术在肾肿瘤方面的治疗疗效不断被验证。与传统开放手术和腹腔镜手术对比,机器人辅助腹腔镜手术疗效相当,且具有许多优势,尤其在肾肿瘤肾部分切除术的应用上。对手术者来说,腹腔镜手术技术要求较高,学习曲线长,而在这种复杂的重建和高级的切除手术中,机器人可为术者提供3D视觉、7个活动度的仿腕型器械、移动缩放和减少震颤。简化手术操作,缩短学习曲线。

常规来说,肾癌部分切术需要阻断肾动脉,这样会导致肾缺血,而且缺血时间越长肾功能受损越严重。我们团队充分利用达芬奇机器人的优势采用了零缺血创新术式,也就是不阻断肾动脉的情况下来做肾癌部分切除术。从后腹腔入路,借助于机器人手臂灵活的自由度,从肿瘤显露到切除、缝合肾脏一气呵成。同时切除肿瘤精准,减少了阳性切缘以及术后尿瘘的发生。

主诊:前列腺、膀胱及肾脏肿瘤、泌尿系结石等

出诊时间地点:周三上午,深圳市保健办,负责干部诊疗保健工作。

周四及或周六全天,深圳市人民医院泌尿外科。

相关疾病: