搓澡、捏脚、采耳
俗称当代人三大“养生法宝”
尤其是采耳,掏耳朵一时爽,一直掏,一直爽,那种奇妙的感觉让人欲罢不能。
但是在不经意间,你的耳健康可能已经受到了威胁。
不正当的采耳后,你的耳朵可能还会越来越痒,甚至会出现闷堵、胀痛等症状。

近日,小李就因为耳朵奇痒无比来到耳鼻咽喉医院就诊。
据小李透露,他们公司老板近期带几个员工去采耳店采耳舒缓压力,谁知几天后就有同事耳朵不舒服,特别痒,感觉耳朵里很潮湿,去了医院检查才发现是真菌感染......
没成想几天后自己也出现了这种症状,终究也难逃耳朵奇痒的折磨。除了痒之外,小李的耳朵还有胀痛的不适感,甚至听力都感觉比以前下降了,同事便介绍他来耳鼻咽喉医院看一下,自己就是在那看好的。
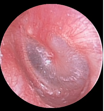
专业看耳还得要使出专业的设备,耳内镜检查下发现小李的耳朵里竟长了满满的“小蘑菇”,原来小李的耳朵也是被真菌感染了。
图片可能引起不适,请谨慎观看:


后来经专业的治疗后,堵住耳道的分泌物被彻底清理,小李感到耳朵终于通畅了,听力也恢复正常,他如释重负,不禁感叹到:“以后再也不敢随便采耳了”。

内镜治疗后
在此,医生特别提醒:真菌很顽固,清理后仍需继续坚持外耳道药物治疗,否则极易复发,尤其广东的天气,复发几率特别高。
另外,耳内进水、不适当的用药,游泳、挖耳等引起外耳道的炎症,外耳道分泌物堆积和刺激,均有可能使真菌在耳道内孳生繁殖,出现耳痒、胀痛、耳阻塞感、耳鸣甚至眩晕等症状.
由于人的外耳道狭长弯曲,外耳道皮肤较薄,自行挖耳易误伤外耳道壁致皮肤血肿、出血,外耳道深部分泌物不易清理,会使疾病迁延不愈。
出现耳朵不适感需到正规医院检查,接受规范的治疗。
耳内镜下可以清楚地观察外耳道,安全精准地处理病变范围,让真菌性外耳道炎患者得到更好的治疗。