对于大多数人而言,崴脚仿佛是件很平常的事情。但是,其中不少人会发现:崴脚后,脚踝外侧还一直伴有疼痛。今天,就给大家介绍一个平时我们容易忽视的问题:跗骨窦综合征(sinus tarsi syndrome STS)
跗骨窦综合征是什么?
踝关节扭伤是最常见的运动损伤之一,有报道显示约70%的病人在急性期过后仍感觉持续疼痛,甚至迁延不愈。此时,我们在排除其他可能的病理因素,如慢性踝关节不稳,踝关节内骨性或软组织撞击、跗骨联合等后,大部分病人可诊断为跗骨窦综合征。目前认为这是距下关节周围病变的一种复合性疾病,与距下关节的轻微不稳定、韧带损伤、关节纤维化、关节去神经改变或窦内压增高等改变有关。


如何判断是否有跗骨窦综合征
踝关节扭伤病史(旋后内翻型);
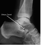
踝关节前外侧(外踝尖前方)疼痛,经久不愈;
查体: 急性期踝关节前外侧(跗骨窦区)肿胀,淤血;
慢性期跗骨窦区压痛,肿胀;
旋后跖屈的疼痛
极度旋前旋后活动度增大(伴有距下关节不稳)


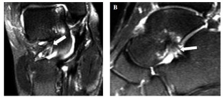
辅助检查:核磁共振MRI必不可少,它可以观察到一些病理改变包括纤维化,弥漫性浸润,非特异性炎症改变,以及异常积液。并发现这些改变与外侧副韧带撕裂之间的相互关系。

如何治疗:
保守治疗是首要的:
首先可以进行康复练习:包括平衡和本体感受的训练,肌肉加强练习,支具佩戴,足矫正器等;
口服非甾体类消炎止痛药物;
物理治疗:冲击波、超声波等理疗;
封闭注射治疗:一般不超过4次;
手术治疗
正规保守治疗无效,则考虑手术治疗。手术治疗包括开放手术和关节镜微创治疗。但是,关节镜下手术创伤更小、恢复更快。如果技术熟练的话,镜下视野比开放手术更清楚、更全面,同时,镜下图像兼具放大的功能,因此,对病变的显示更彻底,手术时间更短。我科关节镜手术开展早,技术成熟。到目前为止已经实施了近百例关节镜下距下关节探查清理手术,95%的病人获得了满意的疗效。
崴脚不能小视,当你的脚踝有任何问题时请及时就医,我们将给你最准确的诊断和最合适的治疗。千里之行始于足下,请呵护好您的双足。