小明是名高一的学生,平常爱好打篮球,正值暑假,打球次数较平常也多了起来。最近一次打球时不小心扭了一下左边膝盖,当时并不在意,喷了点云南白药就回家了。没想到第二天膝盖就肿了起来,去当地医院拍了X片医生说没什么事,就让回家休息了。过了一个星期,膝盖的肿慢慢消了,但是小明总觉得左边膝盖有点“晃”,尤其是在转身、急停时更加明显,慢慢的不敢运动,让他很是困扰。于是便来到了深圳市第二人民医院运动医学科朱伟民医生这里就诊,才知道自己原来是前十字韧带断了。
前十字韧带,又称前交叉韧带,是维持膝关节前向稳定性和旋转稳定性的重要结构,多在进行体育运动时发生损伤,比如球类运动中的急停变向、对抗运动时对膝盖的撞击等。前交叉韧带损伤时可有如绳子断裂时“啪”声,表现为膝关节疼痛、肿胀,接着出现膝关节活动明显受限,难以继续运动或工作。此外,前交叉韧带损伤使膝关节失去稳定性,出现行走不稳、关节晃动等表现,且可在肿胀、疼痛消退后持续存在。该病在青少年多见,且女性多于男性。
前交叉韧带损伤如何自己分辨?
前交叉韧带损伤的诊断主要根据病史、体格检查及影像学资料,临床上体格检查尤为重要,如前抽屉试验、Lachman试验、轴移试验等。
前抽屉试验:患者取用仰卧位,屈膝90°,放松;检查者以臀部固定患者双足,双手握住小腿上段作前拉动作。如胫骨平台相对于股骨明显前移(>5mm)则为前交叉韧带断裂。

Lachman试验:患者取仰卧位,放松;检查者以同侧手握住同侧患肢胫骨上段内侧,另一手握股骨远端外侧,微屈膝15-20°,双手方向用力。如见胫骨明显向前位移则为阳性,考虑前交叉韧带断裂。
常见的影像学检查有哪些?
如果症状和体格检查都相符,还需进一步完善影像学检查以明确诊断。常见的检查包括X线、B超和MRI。
X线可间接了解是否有前交叉韧带损伤,如Segond骨折能提示前交叉韧带损伤,同时能排除膝关节周围其他骨折。

B超经济、方便、无痛,但准确率低;
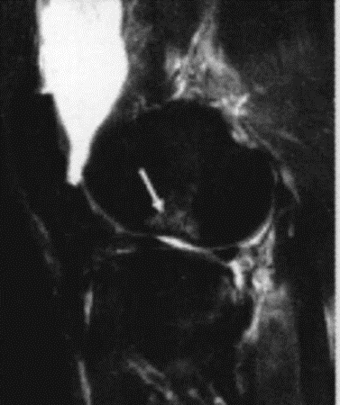
MRI可以提示前交叉韧带走形不连续、走形异常等异常信号,空髁间窝征、Notch征等可间接提示前交叉韧带损伤;

Notch 征: 股骨外侧髁凹陷加深加大或局部骨挫伤( 白箭头) , 提示 ACL 撕裂

空髁间窝征: 股骨外侧髁 ACL 止点空虚( 黑箭头) , 未见低信号影,附着于股骨髁, 提示 ACL 撕裂
此外,MRI还可以帮助判断其他肌肉、韧带、软骨及半月板是否合并受伤,是临床上诊断前交叉韧带损伤的重要检查方法。
前叉损伤的治疗方式有哪些?
前交叉韧带损伤的治疗包括保守治疗和手术治疗,以恢复膝关节稳定性,防止或延缓继发损伤为治疗目的。
保守治疗包括(1)急性期制动休息,减轻膝关节的负担,避免二次伤害。(2)冰敷:每次15-20分钟,每日4-6次。(3)加强股四头肌锻炼:直抬腿、蹲马步。(4)药物治疗:非甾体类抗炎药。
对于运动需求高、手术意愿强烈以及年轻的患者可采取手术治疗。目前,关节镜下重建前交叉韧带是治疗前交叉韧带损伤的金标准。

手术切口小,通过在膝关节上开3-4个1com孔和1个3-4cm斜行切口,即可在关节镜下完成韧带重建。术后还需积极康复,定期复查移植物愈合情况,治疗周期约6-12个月。
最后,小明选择手术重建前交叉韧带,术后遵朱医生的建议积极康复锻炼,并佩戴膝关节治具,现术后1年已经恢复正常的运动生活,达到了满意的治疗效果。