1、牙源性鼻窦炎(ODS)是指细菌性上颌窦炎,可延伸至其他鼻窦,是慢性鼻窦炎中相对特殊的情况。
2、据统计牙源性鼻窦炎可能占所有慢性上颌窦炎的25%至40%,多半单侧发病,CT显示单侧上颌窦混浊的情况下牙源性鼻窦炎占比45%至75%。

3、为什么单独提出牙源性鼻窦炎的问题?
通过CT检查,鼻窦炎如上颌窦炎诊断相对简单,但欧洲相关共识统计:在CT上,88.3%的牙源性鼻窦炎有上颌窦外区域扩展,更重要的是65.5%的CT报告没有提及牙齿问题。这么高的比例,原因在于常规鼻窦CT对于牙齿问题显示稍差,另外就是牙齿没有被很好的关注。
4、所谓的牙源性,包括哪些问题?
牙源性鼻窦炎的原理就是:上列牙的牙根突入上颌窦(类似天花板打孔误穿透楼上地板),进而牙根感染诱发上颌窦炎反复出现。常见的病变包括:根尖周炎、根尖囊肿、口腔上颌窦瘘、种植牙、含牙囊肿等。
1)根尖周炎:是指根尖部牙周膜、牙骨质、牙槽骨的炎症;


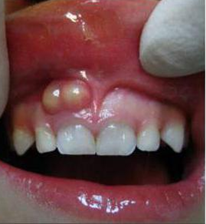
2)根尖囊肿,也称神经根囊肿,由牙齿感染引起;通常见于30-60岁,主要症状是深龋洞,牙齿变色,反复出现牙龈脓包等。

3)口腔上颌窦瘘是指口腔和上颌窦之间的病理性、非自然通道;

4)种植牙或者种植体

5、牙源性鼻窦炎如何诊断?常见的是以下两种情况
1)口腔科疾病拍片发现和牙齿相关的上颌窦病变;
2)反复的鼻窦炎发作,经由耳鼻喉科发现和诊断。
6、牙源性鼻窦炎的诊断依据:
1)可疑的ODS:
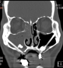
CT显示单侧上颌窦混浊
CT 上现实的可能的牙科病变
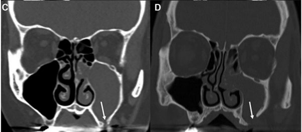
鼻内镜检查单侧中鼻道脓性物(下图)
鼻腔腥臭味
鼻窦培养中的牙源性细菌

2)确认ODS:
鼻内镜检查中鼻道可见脓性鼻涕、水肿或息肉
如果内镜检查阴性,但症状或CT符合;
3)确认牙源性
根尖周炎:冷热试验; CBCT、口腔全景片PAR 或 根尖拍片OP
口腔上颌窦瘘:口腔检查
种植牙:评估种植体周围炎或移动种植体
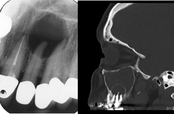
7、牙科常见的检查包括:CBCT(相比普通鼻窦CT能更好的显示牙齿问题,下图);口腔全景片,根尖X拍照,牙髓温度测试


8、治疗
1)鼻窦CT发现上颌窦浑浊,尤其单侧,需留意上列牙齿问题。常规的鼻窦CT现实不足的部分,需要进一步的专科检查以排除牙源问题。
2)确诊后需要仔细评估,如何处理,先处理牙齿问题还是优先处理鼻窦问题?种植牙是否可以保留?
3)手术治疗,相对比较简单。