人工髋关节

黄伟医生 发布于2024-03-29 16:56 阅读量290

本文由黄伟原创

老年人摔跤是一件严重的事情。近来我科因老年患者摔跤而住院手术的事情越来越多,最近一个月达到了十二例,引起我的重视。老年患者就好比一个花瓶,不经摔,不能摔,用手撑的就桡骨骨折,臀部就地的就股骨近端骨折。为什么呢,老年人骨质疏松,骨质硬化,没有弹性,一摔就好像花瓶掉在地上一样,散开了。并且老年人摔跤最容易发生的骨折是股骨颈骨折,骨折后疼痛不能活动,甚至在床上也不能翻身,就会很容易发生肺炎、血栓等并发症,以前不做手术保守治疗的一般很快过世了,死亡率很高。但近几十年来,人工髋关节置换技术发展越来越成熟,挽救了许多老年股骨颈骨折患者的生命,迅速提高她们的生活质量,术后第二天就可以下床行走,重见阳光,避免了各种并发症。下面是我2019年3月份夜班收治因摔跤导致的两例股骨颈骨折及人工关节置换的照片 。

术前股骨颈骨折

该图片可能引起不适

继续查看

IMG_20190323_185245.jpg

术后人工半髋关节

该图片可能引起不适

继续查看

IMG_20190323_185125.jpg

术前股骨颈骨折

该图片可能引起不适

继续查看

IMG_20190323_184542.jpg

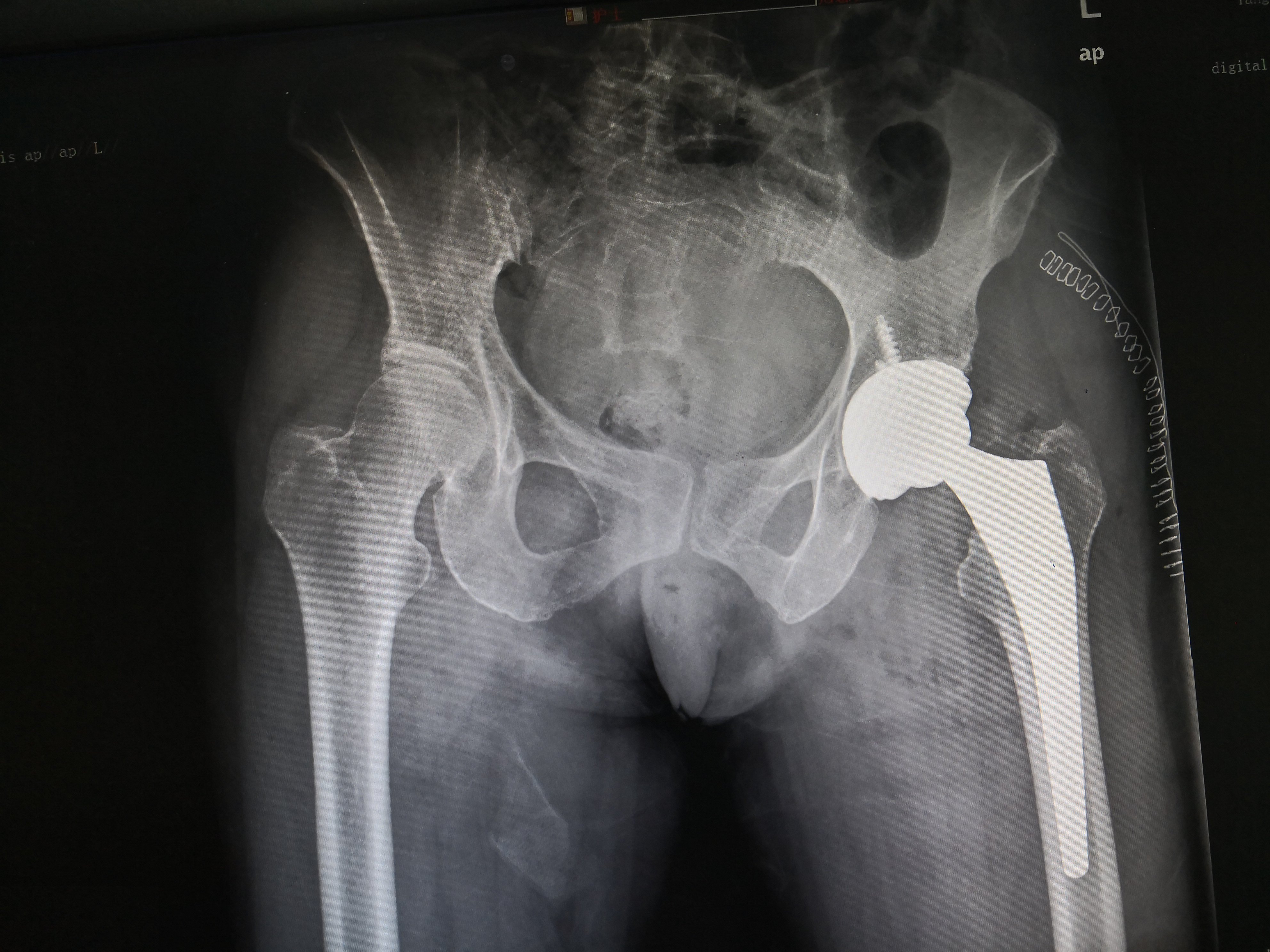
术后人工全髋关节

该图片可能引起不适

继续查看

IMG_20190323_184730.jpg

术中人工髋关节的陶瓷头

该图片可能引起不适

继续查看

mmexport1553349575215.jpg

术后第二天患者就下床行走,术后一周出院,术后二周就自行走来门诊复查拆线了。在科技发展的今天,不得不感慨,人工关节迅速康复不再是一件难事。人工髋关节置换不仅用于股骨颈骨折,还应用于股骨头坏死、髋臼发育不良、严重的髋关节炎等,效果显著。我最早的人工髋关节是帮我邻居换的,到现在已经有十年,她每次看到我都要抓紧我双手说谢谢的话,能给别人带来健康行走,是件多么快乐的事,并且是身边的人呢。当然,老年人不要发生摔跤最好,平时练习一下平衡能力,有眩晕的要及时去看医生,刮风下雨就不要出门买菜,家里厨房、洗手间要装上防滑的塑料垫,有条件把家地面搞得软软的,这样摔跤也不会骨折,希望深圳以后能建立一个老年防摔协会,多些人参与这些工作,使老有所依,老有所治。


相关疾病: