各位朋友大家好,欢迎来到《“咳”不容缓》咳嗽科普系列讲堂。在前面的课程中,我们聊过了很多由细菌、病毒引起的呼吸道疾病。今天,我们要认识一位不太一样的“对手”——它广泛存在于我们周围的环境中,平时与人相安无事,但一旦我们的防御系统出现漏洞,它就可能趁虚而入,引发肺部疾病,甚至危及生命。这就是我们今天要讲的 “肺曲霉菌病””。

第一部分:什么是肺曲霉菌?它如何致病?
首先,我们来认识一下今天的主角:曲霉菌。
曲霉菌不是一种细菌,而是一种真菌。它非常常见,在自然界中无处不在,比如土壤、腐烂的植被、堆肥、空调系统、室内灰尘、甚至一些食物中,都可能存在它的孢子。想象一下,这些微小的孢子就像漂浮在空气中的“真菌种子”。
对于绝大多数免疫力正常的人来说,吸入少量曲霉菌孢子完全没问题,我们的呼吸道防御系统(比如黏膜纤毛和免疫细胞)可以轻松清除它们,不会引发疾病。所以,大家不必恐慌,我们日常接触的环境空气里,很可能就有它的存在。
但是,当人体的免疫防线出现“缺口”时,情况就不同了。这时,曲霉菌就从一个无害的过客,变成了一个“机会主义者”。肺曲霉菌病,就是指由曲霉菌感染或定植于肺部所引起的一组疾病的总称。它的发生,关键不在于你接触了曲霉,而在于你自身的“土壤”(即肺部环境和全身状态)是否适合它生长。
第二部分:肺曲霉菌病有哪些类型和表现?
肺曲霉菌病不是一个单一的疾病,根据感染者的免疫状态和肺部基础情况,主要分为三大类,它们的严重程度和表现也截然不同。
第一类:过敏性支气管肺曲霉菌病(变态反应支气管肺曲霉菌病)
这是一种过敏反应,而不是真正的感染。多见于长期哮喘或囊性纤维化的患者。他们的免疫系统对吸入的曲霉菌孢子产生了过度的、复杂的过敏反应。
主要表现:在原有哮喘基础上,出现难以控制的咳嗽、喘息、咳出棕褐色粘稠的痰栓,可能伴有低热、胸闷。症状常反复发作,时好时坏。如果不治疗,长期可能损伤气道,导致支气管扩张,肺功能下降。诊断此病需要结合哮喘病史、血液中嗜酸性粒细胞增高、特异性抗体(IgE)升高等多项检查。
第二类:慢性肺曲霉菌病
这就像一场“持久战”。它通常发生在那些肺部已经有“旧伤”或空洞的人身上,比如陈旧性肺结核治愈后留下的肺空洞、肺气肿大泡、尘肺病等。曲霉菌孢子进入这些空洞,安家落户,缓慢生长,形成一团真菌球,我们称之为“曲菌球”。

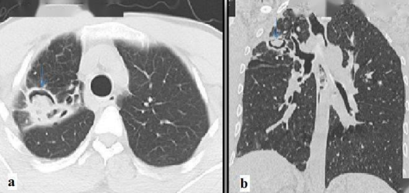
主要表现:最常见、最典型症状就是反复咯血,从痰中带血到大量咯血都有可能,这是因为真菌球摩擦空洞壁的血管所致。此外,还有慢性咳嗽、咳痰、盗汗、体重减轻、乏力等慢性消耗症状。胸部CT上常能看到一个典型的“新月征”空洞,里面有一个可移动的团块影。
第三类:侵袭性肺曲霉菌病
这是最凶险的一种类型,是一场“生死战”。主要发生在免疫系统遭受严重破坏的人群中,例如:
白血病、淋巴瘤等血液系统肿瘤患者,特别是化疗后骨髓抑制阶段。
接受实体器官移植或造血干细胞移植后,长期使用强效免疫抑制剂的患者。
长期、大剂量使用糖皮质激素(如泼尼松)或其它免疫抑制剂的患者。
重症监护室(ICU)里某些危重病人。
在这些患者体内,曲霉菌会像侵略军一样,侵入肺组织血管,导致组织坏死、出血,并可能通过血液循环播散到全身其他器官,病死率很高。
主要表现:往往急性起病,表现为发热、咳嗽、胸痛、呼吸困难,咯血也常见。但症状有时不特异,容易被原发疾病掩盖。早期诊断非常关键,但也很困难。
第三部分:如何诊断和治疗?
诊断肺曲霉菌病,就像侦探破案,需要结合“线索”(患者的病史和免疫状态)、“现场照片”(影像学检查)和“物证”(实验室检查)。
影像学:胸部高分辨率CT是重中之重。它能清晰显示真菌球、空洞、“晕轮征”(侵袭性感染早期典型表现)等关键证据。
实验室检查:
微生物培养:从痰液、支气管肺泡灌洗液中培养出曲霉菌,是重要证据,但阳性率不是100%。
血液检测:检测血液中的曲霉菌特异性抗原(如半乳甘露聚糖,简称GM试验),对于诊断侵袭性感染非常有帮助。
分子检测:如PCR技术,能快速检测曲霉菌的DNA片段,提高早期诊断率。
病理学检查:通过支气管镜或穿刺取得肺组织进行活检,在显微镜下看到曲霉菌菌丝,是诊断的“金标准”,但属于有创操作。
治疗上,需要“量体裁衣”:
过敏性支气管肺曲霉菌病:治疗核心是抗炎和抗过敏,主要使用口服糖皮质激素(如泼尼松),有时合用抗真菌药(如伊曲康唑)以减少激素用量。
慢性肺曲霉菌病:首选长期口服抗真菌药物,如伊曲康唑、伏立康唑等,疗程往往需要数月甚至数年,目的是控制症状、防止咯血和疾病进展。对于反复大咯血或药物治疗无效的单发曲菌球,可考虑手术切除。
侵袭性肺曲霉菌病:是内科急症,需要强效、静脉使用的抗真菌药物,如伏立康唑、艾沙康唑、两性霉素B等,并且需要尽早用药、足量足疗程治疗。同时,如果可能,应尽量减轻免疫抑制状态(如减少免疫抑制剂用量)。
第四部分:我们该如何预防?
对于普通健康人群,无需特殊预防,正常生活即可。
但对于高危人群,预防至关重要:
环境控制:尽量避免暴露于高浓度霉菌孢子的环境,如建筑拆迁工地、谷物仓库、堆肥场、地下室、长时间未清洁的空调滤网、室内发霉的角落(如浴室、厨房)。在进行园艺活动(如翻土、堆肥)时,建议佩戴口罩。
个人防护:对于极高危患者(如骨髓移植后),住院期间可能会安排在带有高效空气过滤器的保护性病房。
药物预防:对于部分血液病或移植患者,医生可能会根据情况,在其免疫最脆弱的时期,处方抗真菌药物进行预防性治疗。
我们来总结一下今天的关键点:
肺曲霉菌病是“机会感染”:真菌(曲霉)常见,致病的关键是人体免疫或肺部结构存在缺陷。
疾病分三类:过敏型(哮喘者需警惕)、慢性型(肺有空洞者易发,警惕咯血)、侵袭型(免疫力极低者的急重症)。
诊断靠综合:病史是基础,CT是利器,血液抗原检测和病原学检查提供证据。
治疗需精准:不同类型,策略完全不同,从抗过敏、长期口服药到静脉强效药,必须由医生严格制定方案。
预防有侧重:高危人群重在避免接触霉菌环境,必要时进行药物预防。
如果您或家人属于我们今天提到的高危人群,出现不明原因的慢性咳嗽、咯血,或者在高免疫抑制状态下出现发热、呼吸急促,一定要及时就医,并主动告知医生您的相关病史,以便医生能更快地将肺曲霉菌病纳入鉴别诊断的考虑范围。
希望今天的讲解,能帮助大家科学认识这个既普遍又特殊的“机会主义者”。了解它,警惕它,才能更好地防范它。下期节目,我们将探讨另一个话题。感谢您的收听,我们下期再见!