各位朋友大家好,欢迎来到《“咳”不容缓》咳嗽科普系列讲堂。在上一期,我们系统讲解了新冠病毒肺炎的医学知识。今天,我们聚焦一个大家更关心的话题:疫情到底发生了什么变化?它从当初的来势汹汹,到今天我们应该如何看待?我将用三个核心变化,带你科学、清晰地认识新冠病毒肺炎的“昨天”与“今天”。

一、 回顾:疫情早期的凶险与典型“白肺”
首先,我们必须正视历史。在2020年初疫情暴发时,原始毒株和后来的德尔塔(Delta)等变异株,其致病特性与今天有本质不同。
1. 高比例的肺部感染与“白肺”:
早期的病毒具有强烈的“嗜肺性”,更容易侵犯下呼吸道。数据显示,在原始株和德尔塔毒株流行期间,感染者发生肺炎的比例高达50%甚至60%以上。那时的重症病房里,因新冠肺炎导致的急性呼吸窘迫综合征是主要挑战。
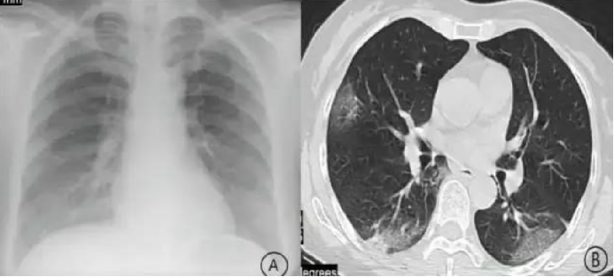
所谓的“白肺”,并不是肺变成了白色,而是在CT影像上,正常的黑色肺组织被大范围的白色渗出阴影所覆盖。这代表着肺泡被炎症液体和细胞填充,失去了气体交换功能。一项针对2020年初住院患者的临床研究显示,在16例患者中,有1例危重患者就出现了典型的双肺“白肺”改变。这是病情危重、需要呼吸机支持的明确标志。

2. 典型病例的特征:
早期的重症病例往往表现为病毒性肺炎的典型进程:持续高热、咳嗽加剧,并迅速出现进行性加重的呼吸困难、低氧血症。病情发展快,对医疗资源,尤其是ICU床位和呼吸机,造成了巨大压力。
二、 变迁:病毒变异与毒力的显著减弱
病毒在不断变异。自2021年底奥密克戎(Omicron)成为全球主流毒株以来,疫情的态势发生了根本性转变。国内外大量的临床数据和科学研究都指向同一个结论:病毒的传播力增强了,但致病力,特别是引起重症肺炎的能力,已显著减弱。
1. 毒力减弱的临床证据:
国内的临床专家在2022年的一次分析中指出,奥密克戎感染者中,90%以上表现为无症状或非常轻的轻型感染,很少发展到肺炎或重症肺炎。重症医学科专家也观察到,当前需要住院的重症病人,其主要问题是原有基础疾病(如心衰、慢性阻塞性肺病等)的急性加重,而非新冠病毒直接导致的肺部严重感染。
2. 症状表现的“上呼吸道化”:
这与病毒的生物学特性改变有关。奥密克戎变异株更倾向于感染人体的上呼吸道(鼻、咽、喉),在下呼吸道(肺部)的复制能力降低。因此,感染后的症状谱系也发生了改变,主要表现为发烧、头痛、喉咙痛、干咳等上呼吸道症状,与普通流感或重感冒非常相似,而下呼吸道症状(如严重呼吸困难)已大大减少。英国疫苗接种委员会在2024年的评估中也指出,COVID-19对大多数人已成为一种相对温和的疾病。
三、 现状:极少“白肺”,但重点人群仍需警惕
基于以上变化,我们可以对现状做一个清晰的总结:
1. “白肺”已极为罕见:
随着奥密克戎及其后续进化分支成为绝对优势毒株,由其引起的典型病毒性肺炎和“白肺”病例在临床中已变得极为少见。公众不必再为此感到普遍的恐慌。
2. 当前的风险聚焦于脆弱人群:
病毒毒力的整体减弱,并不意味着它已完全无害。风险出现了明显的分层和聚焦。当前的威胁主要针对高龄老人、未接种疫苗者、以及有严重基础疾病(如心脑血管疾病、慢性肺部疾病、糖尿病、免疫抑制等)的脆弱人群。
对于他们,感染新冠病毒仍可能成为一个“导火索”,诱发原有疾病的恶化,从而导致重症风险增加。
为了让大家更清晰地理解这种变迁,我总结了核心变化对比如下:

四、 科学应对:消除恐惧,精准防护
面对现状,我们应抱有科学、理性的态度:既不必为过去的情况持续焦虑,也不能对现在的风险完全掉以轻心。
消除不必要的恐慌:充分认识到病毒变异后的新特点。对于绝大多数免疫功能正常、已完成疫苗接种的人群来说,感染后发展为重症肺炎的风险已极低。它更像一个“不讨喜的强感冒”,应避免因过度恐惧而影响正常生活。
坚持精准的防护:我们的防护重心应转向保护身边的脆弱群体。
接种疫苗:仍是预防重症和死亡的基石。疫苗能极大地训练免疫系统,即便感染,也能有效防止病情向下呼吸道发展。
做好健康监测:家中有高危人群的,在疫情流行期需更注意。若脆弱人群感染后出现持续高热不退、气促、精神状态差、血氧饱和度下降(≤93%)等情况,应及时就医。
保持良好卫生习惯:在人群密集场所佩戴口罩、勤洗手、多通风,这些简单措施依然有效。
回顾过去五年,新冠病毒肺炎已经从一种可能引发广泛、严重肺炎的呼吸道传染病,演变为一种主要影响上呼吸道、致病力显著减弱的疾病。典型的“白肺”病例已成为极小概率事件。
这种变化是病毒与人类免疫系统(通过自然感染和疫苗接种)相互适应、共同进化的结果。我们今天能更平静地谈论它,正是建立在科学认知和有效防控手段的基础之上。让我们用更新的知识武装自己,不恐不慌,科学防护,将关注和资源精准地投向最需要保护的家人和朋友。
希望今天的讲解能帮助你更清晰地认识新冠病毒肺炎的变迁,用一颗平常心,守护好自己和家人的健康。下期再见!