各位听众朋友,大家好!欢迎来到《“咳”不容缓》咳嗽科普系列讲堂。今天我们要聊的这个话题,大家一定都不陌生,甚至很多人都有切身体会——它就是“新冠病毒性肺炎”。随着疫情进入常态化管理阶段,我们对它的恐惧感降低了,但它仍然是导致咳嗽,特别是严重、持久咳嗽的重要原因之一。今天,我们就用10分钟左右的时间,详细介绍一下新冠病毒性肺炎。

第一部分:如何区分新冠病毒感染与新冠病毒肺炎
首先我们要明确,新冠病毒感染和新冠病毒性肺炎是两个相关但程度不同的概念。
新冠病毒感染:新冠病毒病毒入侵我们的上呼吸道,主要引起咽痛、流涕、发热、咳嗽等症状,大部分人停留在这个阶段。
新冠病毒性肺炎:是指新型冠状病毒侵入下呼吸道,引起了肺部组织的炎症和损伤。这是感染可能发展为的一种严重形式。根据《新英格兰医学杂志》2020年发布的一项早期研究,在住院的新冠患者中,肺炎是常见的严重并发症。
所以,当医生诊断“肺炎”时,意味着感染已经更深一步,需要您更加重视。
第二部分:病因与机制——病毒如何在肺部“搞破坏”
新冠病毒通过呼吸道进入人体,它的表面有一种“钥匙”——刺突蛋白,能打开我们肺部细胞表面的“锁”(ACE2受体)。一旦进入细胞,它就大量复制,破坏细胞。
但这还不是全部,更关键的是,我们身体的免疫系统会全力反击。这个反击过程本身就像一场“激烈的巷战”,会产生大量的炎症细胞和因子,在消灭病毒的同时,也可能“误伤”我们自身的肺组织,导致肺泡(肺里负责气体交换的小气囊)里充满炎性渗出液,就像被水淹没了一样。这样一来,氧气无法顺利进入血液,人就会感到缺氧、呼吸困难。这种由免疫反应过度导致的损伤,是肺炎加重的重要原因。
第三部分:核心症状——如何识别危险的信号
除了大家熟知的发热、乏力、肌肉酸痛外,新冠病毒性肺炎有它独特的表现:
咳嗽:这是最核心的症状之一。通常是干咳,或后期有少量白粘痰。这种咳嗽往往比较剧烈、频繁,且持续时间长,可能超过2-3周。
呼吸困难:这是需要警惕的关键信号。感觉“气不够用”、“喘不上气”,稍微活动一下(比如走几步路、说一段话)就心慌气短。平静状态下,呼吸频率加快(每分钟超过20次)也是一个重要指标。
持续发热:高热(超过39℃)持续不退超过3天,或反复发热,提示感染可能较重。
指氧饱和度下降:这是客观指标。家用血氧仪测量,静息状态下指氧饱和度持续≤93%,是判断肺炎和是否需要就医的重要依据。
高危人群要特别警惕:老年人(尤其65岁以上)、有基础疾病(如心肺疾病、糖尿病、肥胖、免疫抑制)的人、未接种疫苗者,一旦感染,发展为肺炎的风险更高。

第四部分:诊断与治疗——科学应对,避免误区
如果您出现上述危险信号,特别是呼吸困难或血氧下降,请务必及时就医。
如何诊断?
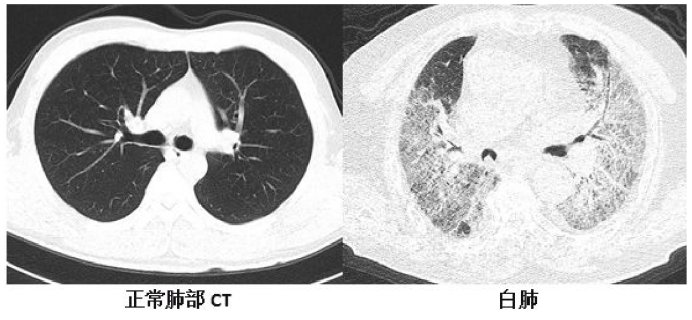
胸部CT检查是诊断肺炎的“金标准”。它能清晰地显示肺部典型的“磨玻璃样”阴影。比X光片要敏感得多。
核酸检测或抗原检测确认新冠病毒感染。
如何治疗?(原则:分层管理,综合治疗)
抗病毒治疗:对于有高危因素、可能发展为重症的患者,在感染早期(5天内)使用抗病毒药物(如奈玛特韦/利托那韦等),可以有效抑制病毒复制,降低肺炎和重症风险。但这属于处方药,必须在医生指导下使用。
抗炎治疗:对于肺炎进展、炎症反应明显的患者,医生可能会在特定时机短期使用糖皮质激素,目的是抑制过度的免疫损伤,降低重症死亡率的重要方案。切忌自行滥用!
对症支持治疗:
氧疗:解决缺氧问题是核心。从鼻导管吸氧到无创呼吸机,再到有创呼吸机,根据缺氧程度逐级支持。
化痰止咳:如果痰粘难咳,可以使用化痰药(如乙酰半胱氨酸、氨溴索),帮助痰液排出。剧烈干咳影响休息时,可用镇咳药临时缓解。
营养与休息:保证充足的能量、蛋白质和水分摄入,是免疫系统战斗的“后勤保障”。充分休息至关重要。
重要提醒治疗误区:
不要盲目使用抗生素:新冠病毒是病毒,抗生素只对细菌有效,除非合并细菌感染,否则无效且有害。
不要乱吃消炎药:老百姓说的“消炎药”通常指抗生素或激素,自行使用风险极高。
不要多种感冒药混吃:很多复方感冒药成分相似,混吃可能导致肝损伤。
第五部分:预防与康复——构筑双重防线
预防永远是上策:
接种疫苗:这是预防重症和肺炎最有效的手段。疫苗能训练免疫系统,即使感染,也能更快清除病毒,减少对肺部的损伤。根据《柳叶刀》等期刊多项真实世界研究,疫苗对预防重症和死亡的保护力非常高。
做好防护:在人群密集或密闭场所,佩戴口罩、勤洗手、多通风,依然是有效的物理屏障。
增强免疫力:均衡饮食、规律作息、适度锻炼、管理好基础病。
肺炎后的康复:
很多朋友肺炎好转后,咳嗽、乏力、气短还会持续数周甚至数月,这叫“新冠后症状”或“长新冠”。康复需要耐心:
呼吸康复训练:练习腹式深呼吸、缩唇呼吸,循序渐进地增加散步等有氧运动,逐步恢复肺功能。
营养支持:持续保证优质蛋白和维生素的摄入。
管理咳嗽:可以尝试喝温水、含蜂蜜(1岁以上儿童及成人)、蒸汽熏鼻等方法缓解。如果咳嗽严重影响生活,可以咨询医生使用合适的止咳药物。
心理调适:不要焦虑,给身体足够的恢复时间。大多数人的症状会随时间慢慢改善。
朋友们,新冠病毒性肺炎,是感染向肺部深处发展的一个警示。它的核心识别信号是:进行性加重的呼吸困难、持续高烧和血氧饱和度下降。
我们既要重视它,通过接种疫苗、做好防护来预防;也要科学看待它,一旦发生,及早就医、规范治疗,并给予身心足够的康复时间和耐心。
希望这期内容能帮助您更清晰地认识这个疾病,消除不必要的恐慌,掌握科学的应对方法。健康无小事,咳嗽虽常见,但也可能是身体发出的重要警报。下期再见!