缺牙者陈先生45岁,某企业顾问,由于工作压力、熬夜、吸烟等引发的牙周病,长期得不到有效的治疗,导致上颌余留牙不多且都为三度松动牙,严重影响咀嚼功能与社交生活。

图文:经口内检查发现,患者有严重的牙周炎,上颌牙松动
在暨南大学附属穗华口腔医院就诊后,经口内检查和影像学检查发现,其上颌骨严重吸收,骨量严重不足,上颌余牙三度松动。经过我们种植科团队研究讨论后给出三个方案:半口活动义齿修复、常规种植修复、穿颧种植修复。
如果采取常规种植增量和种植术,手术创伤大,耗时长,并无法进行即刻修复。在此之前,患者曾跑遍广州多家机构就诊,最大的心愿就是快速种上牙,减少手术创伤,完全即刻种植修复,但均被告知无法实现。

穿颧种植术示意图
“通过将种植体植入到骨质较硬的颧骨,受力效果好,而且稳定性强,非常适用于颌骨严重萎缩的缺牙患者以及常规植骨手术也没有办法达到种植条件的无牙颌患者。”穿颧种植术,避免大量取骨、植骨,并且种植后实现即刻负重,大大缩短了治疗时间。陈先生经深思熟虑后,要求行穿颧种植术。
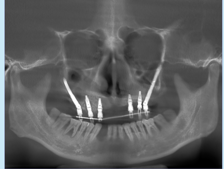
我们团队通过数字化三维设计软件规划种植,并由团队自行设计生成数字化种植导板,对术中可能出现的各种情况进行了充分的术前准备。凭借过硬的技术和丰富的临床经验,冯智强博士在患者颧骨两侧植入2颗穿颧种植体,配合在前牙区植入4颗种植体,当天戴牙修复固定假牙,即完成上颌半口种植。

穿颧种植术”是一种通过颧骨固定种植牙的技术,将种植体植入到人体较硬的骨头——颧骨上,故而穿颧种植被誉为口腔种植界的“珠穆朗玛峰”,是当今国际上种植技术的制高点。
穿颧种植手术较一般的种植手术,避免大量取骨、植骨,并且种植后实现即刻负重,大大缩短了治疗时间;并且一般只需4颗种植体就能恢复半口好牙,当天种当天用,该技术适用上颌骨切除、上颌骨严重萎缩,常规内外提升也没有办法达到种植条件的无牙颌患者。

术后拍片图

术后戴牙
穿颧种植技术虽然具备了普通种植牙技术所无法比拟的优势,但在手术的过程中,医生是要把长度是传统种植体3-4倍的种植体植入到颧骨上,这对于医生种植技术水平以及设备的要求是很高的。
目前,国内能够有条件进行穿颧种植技术的医院屈指可数,是国内极少数能娴熟开展“穿颧种植术”的极少数医院之一,每年完成此类高难度种植案例十余例,走在行业前列,给广大高疑难缺牙市民带来了福音。